p/ Tuberkulöse Lymphadenitis

Diagnose
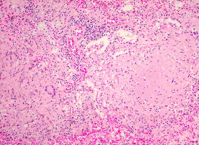
Tuberkulöse Lymphadenitis
Diagnose Gruppe
Entzündung infektiös
Differenzialdiagnose
Topographie Gruppe
Lymphatische Gewebe, KM, Milz
Topographie
Lymphknoten, Kopf-cervikal
Einleitung
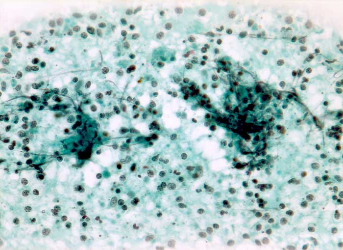
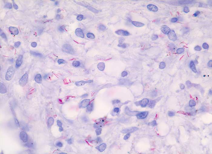
Die meist atrophischen Epitheloidzellen sind oft nur schwer von Venulenendothelien unterscheidbar und sind nur relativ selten zu deutlich erkennbaren Granulomen zusammengeballt. Bei Vorliegen von verkäsenden Granulomen erscheint der Ausstrich feinkörnig-detritisch. Eine granulozytäre Entzündung muss bei AIDS Patienten an eine Tuberkulose denken lassen.
Die Ziehl-Neelsen Färbung zum Nachweis der säurefesten Stäbchen kann nachträglich am Pap-gefärbten Präparat durchgeführt werden.
Klinik
-
Normalbefund
Morphologie
Makroskopie
Virtuelles Präparat
Befund
Pathologischer Befund
Normalbefund
Literatur
Datum
Ersteintrag: 01.04.2003
Update: 04.02.2024