l/
CD1a
Einleitung
CD1a
- Anfärbung:
- Zytoplasma
- Reaktion im Normalgewebe:
- CD1a wird von einer Reihe von Antigen-präsentierenden Zellen exprimiert. Unter anderem Langerhanszellen und interdigitierende Reticulumzellen. 70% aller Thymozyten sind CD1a positiv, nicht aber frühe Thymozyten oder ausgereiften Thymozyten
- Reaktion in Neoplasien:
- Precursor T-ALL positiv. Post thymische T-CLL, Sezary Syndrom, kutanes T-Zell Lymphom und nodale T-Zell Lymphome negativ.
- Diagnostischer Nutzen:
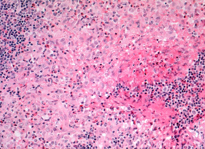
- Identifikation einer Langerhanszellhistiozytose.
CD1a ist positiv in kortikalen Thymomen.
Befund
Pathologischer Befund
Normalbefund
Datum
Ersteintrag: 13.04.2003
Update: 04.02.2024