AP/ Diffuses grosszelliges B-Zell Lymphom, NOS

Diagnose
Diffuses grosszelliges B-Zell Lymphom, NOS
Diagnose Gruppe
maligner Tumor
Topographie Gruppe
Lymphatische Gewebe, KM, Milz
Topographie
Lymphknoten, abdominal
Einleitung
Histogenese:
Das diffuse grosszellige B-Zell Lymphom (DLBCL), not otherwise specified (NOS) stellt eine diffuse Proliferation grosser neoplastischer B Zellen dar, deren Kerne gleich gross oder grösser sind als der Kern eines normalen Makrophagen und mehr als zweimal so gross wie der Kern eines normalen Lymphozyten. Dieses Lymphom entsteht gewöhnlich de novo, kann aber auch aus der Transformation eines weniger aggressiven Lymphoms hervorgehen (z.B. CLL/SLL, follikuläres Lymphom, Marginalzonenlymphom (> 3331)). 
 
Morphologie:
Befallene Lymphknoten zeigen einen Ersatz der normalen Strukturen durch homogenes fischfleischartiges, grauweisses Tumorgewebe. Einblutungen, Nekrosen oder Fibrose sind möglich. Histologisch destruieren die neoplastischen Infiltrate die normalen Strukturen des Lymphknotens bzw. des extranodalen Gewebes diffus (> 3464) (> 3094). Der Lymphknotenbefall kann komplett, partiell, interfollikulär oder seltener sinusoidal sein. Oft wird das perinodale Gewebe infiltriert. Morphologisch lassen sich mehrere Varianten unterscheiden (immunoblastisch, zentroblastisch u.a.), welche keine gesicherte prognostische Bedeutung haben. Standardmässig werden heute der sogenannte „cell-of-origin“ (COO) sowie der „double-expressor status“ (MYC/BCL2) als prognostisch/prädiktive Biomarker beim DLBCL bestimmt. 
 
update 31. August 2020



Klinik
Vorkommen:
In westlichen Ländern macht dieser Lymphomtyp ca. 30% aller Lymphome beim Erwachsenen aus. Die Inzidenz hat in den letzten Jahrzehnten zugenommen. Das mittlere Erkrankungsalter liegt bei 65 Jahren bei einer grossen Schwankungsbreite. Auch Kinder können betroffen sein. 
 
Risikofaktoren:
Immundefizienz stellt einen Risikofaktor dar. DLBCL bei immunsupprimierten Patienten sind häufiger Epstein-Barr Virus positiv. 
 
Symptomatik: 
40% der Patienten zeigen einen primär extranodalen Befall, am häufigsten im Gastrointestinaltrakt (> 3460). Ein primärer Knochenmarkbefall oder eine Ausschwemmung ins periphere Blut ist initial selten. Typisch ist eine symptomatische, rasch wachsende Tumormasse in einer solitären nodalen oder extranodalen Lokalisation. Bei den Staginguntersuchungen wird dann aber oft ein disseminierter Befall nachgewiesen. 
 
Prognose:
DLBCL sind aggressiv aber mit einer multimodalen Immun-Chemotherapie potentiell heilbar. 


update 31. August 2020 
Morphologie
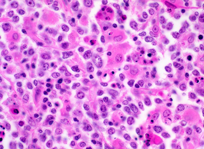
Morphologische Merkmale: 
  • Teils von einer Kapsel bedecktes Lymphknotenfragment. 
  • Zerstörung der Lymphknotenarchitektur durch diffuses Lymphominfiltrat. 
  • Grosse polymorphe Tumorzellen mit unregelmässig geformten vesikulären Kernen und einem zentralständigen Nukleolus (Immunoblasten) oder multiplen randständigen Nukleolen (Zentroblasten). 
  • Wenig nicht neoplastische Zellen: Zytoplasmareiche Histiozyten, Lymphozyten, neutrophile Granulozyten. 
  • Zahlreiche Mitosen und Apoptosen. Das sollte der Kliniker dem Pathologen mitteilen: 
  • Ausdehnung der Erkrankung. 
  • Hämatologische Vorerkrankung. Praxis-Tipp: 
  • Gewebe sofort frisch einsenden in mit NaCl getränkter steriler Gaze. 
  • Lymphknoten nicht quetschen und Kauterartefakte vermeiden. 
Makroskopie
Befund
Pathologischer Befund
Normalbefund
Datum
Ersteintrag: 15.03.2019
Update: 04.02.2024