AP/ Adenoidzystisches Karzinom einer Speicheldrüse

Diagnose
Adenoidzystisches Karzinom einer Speicheldrüse
Diagnose Gruppe
maligner Tumor
Differenzialdiagnose
Topographie Gruppe
Kopf & Hals, Sinnesorgane
Topographie
Parotis
Einleitung
Lokalisation:
Das adenoidzystische Karzinom ist eine seltene Form des Adenokarzinoms im Kopf-Hals Bereich. Seltener tritt es in der Mamma oder auch an anderen Lokalisationen auf. Am häufigsten wird dieses Karzinom in der Parotis, in der Glandula submandibularis und in den kleinen Speicheldrüsen des Gaumens (in abnehmender Reihenfolge) diagnostiziert.

Morphologie:
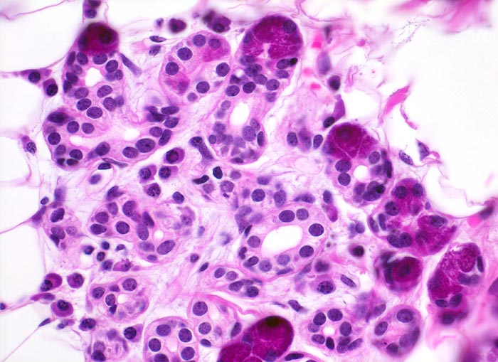
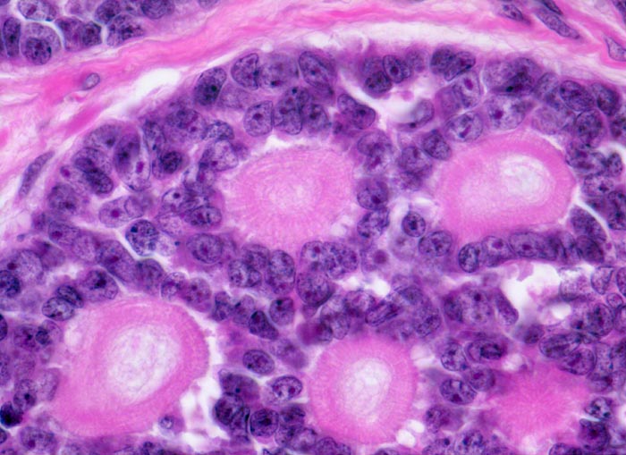
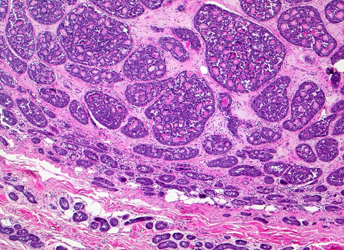
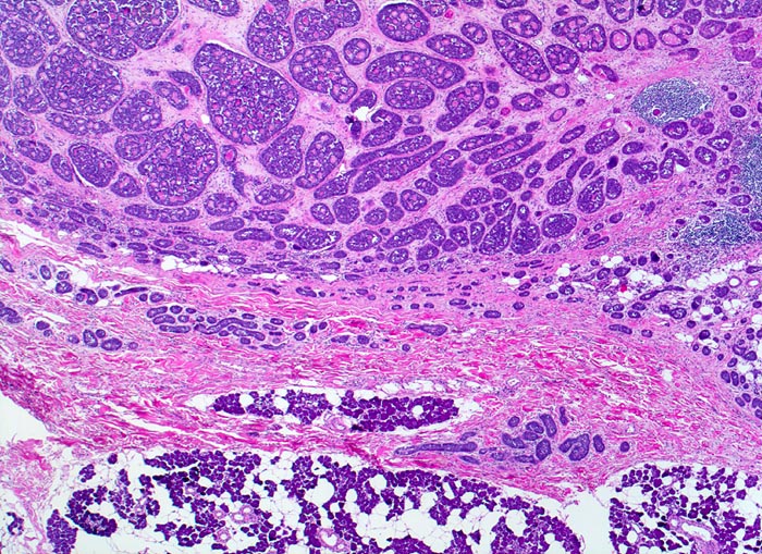
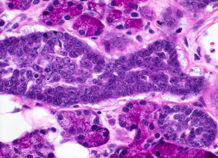
Adenoidzystische Karzinome zeigen drei Wachstumsmuster (in abnehmender Reihenfolge): kribriform, tubulär und solide. Die Hohlräume in den kribriformen Arealen entsprechen keinen echten Drüsenlumina, sondern sind Bestandteil des Tumorstromas. Sie enthalten PAS positives Sekret oder hyaline Substanzen. Die strangförmigen Tubuli begleitet von hyalinem Stroma. Typischerweise (allerdings nicht im vorliegenden Präparat) kann eine Perineuralscheideninvasion nachgewiesen werden. Kleine Tumoren können scharf begrenzt sein, grössere Tumoren wachsen infiltrativ.
Klinik
Symptomatik:
Initial besteht eine schmerzlose Schwellung. Im Verlauf kommt es zu (Druck-)Schmerzen oder zu einer peripheren Fazialisparese.

Therapie:
Die besten Langzeitresultate werden nach vollständiger Tumorexzision mit nachfolgender Strahlentherapie erreicht.

Verlauf:
Das adenoidzystische Karzinom zeigt im Einzelfall einen unvorhersehbaren Verlauf. Meist handelt es sich um langsam wachsende Tumoren. Gelegentlich kommen aber auch aggressive rasche Verläufe vor. Rezidive nach Resektion sind häufig. 40-60% der Patienten entwickeln oftmals erst nach langjährigem Verlauf Metastasen vor allem in Lungen, Knochen oder Weichteilen. Regionäre Lymphknotenmetastasen sind im Gegensatz zu anderen Speicheldrüsenkarzinomen selten.
Morphologie
Morphologische Merkmale:
  • Reste einer rein serösen Speicheldrüse (rechts).
  • Unscharf begrenzter, aus kribriformen, tubulären und soliden Zellformationen aufgebauter infiltrativ wachsender Tumor.
  • Mikrozystische Hohlräume in den kribriformen Tumorarealen enthalten eosinophiles hyalines Material.
  • Tubuli mit zentralem Lumen werden ausgekleidet von einer inneren helleren Epithelschicht und einer äusseren dunkleren Myoepithelschicht.
  • Basaloide kleine Tumorzellen mit wenig Zytoplasma.
Das sollte der Kliniker dem Pathologen mitteilen:
  • Primärtumor, Rezidiv oder Metastase.
  • Symptomatik.
Makroskopie
Befund
Pathologischer Befund
Normalbefund
Literatur
Datum
Ersteintrag: 04.11.2018
Update: 04.02.2024