Definition:
Eine akute virale Hepatitis verursacht durch die Hepatitisviren A, B, C oder E dauert weniger als sechs Monate.
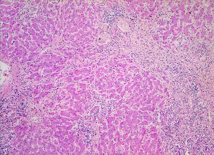
Morphologie:
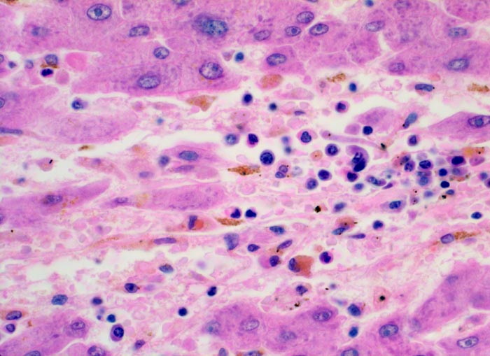
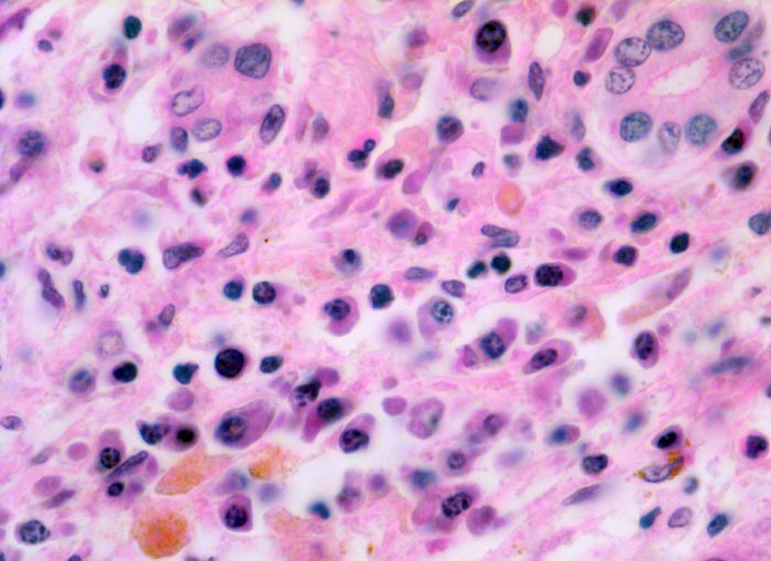
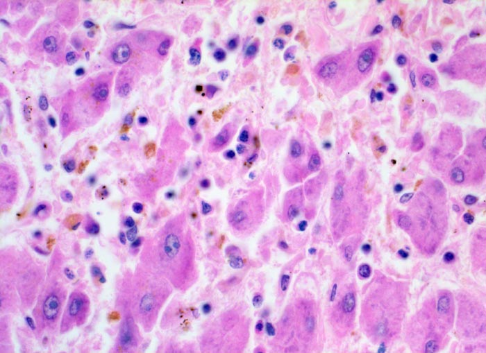
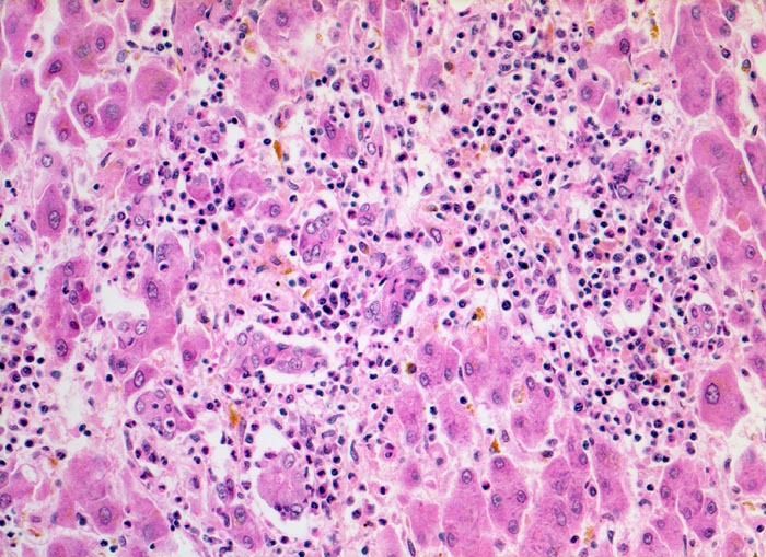
Das histologische Bild der akuten Hepatitis vom Virustyp ist gekennzeichnet durch eine lobuläre Entzündung bei fehlender portaler Fibrose und nur geringer entzündlicher Infiltration der Portalfelder. Es finden sich ballonierte Hepatozyten, Apoptosen ( 1164) und fleckige Nekrosen. Perivenuläre Nekrosen, Brückennekrosen oder konfluierende multilobuläre Nekrosen und eine läppchenzentrale Cholestase können vor allem in klinisch fulminant verlaufenden Fällen nachgewiesen werden. Zahlreiche Makrophagen, welche Diastase-PAS positives Zeroidpigment ( 4319) von phagozytierten nekrotischen Hepatozyten enthalten, zeugen im subakuten Stadium von einer abgelaufenen akuten Hepatitis mit Parenchymnekrosen. Eine Unterscheidung der verschiedenen Typen der viralen Hepatitis und einiger Formen medikamentöser Hepatitiden gelingt rein morphologisch aufgrund des unspezifischen Bildes meist nicht. Für eine ätiologische Klassifizierung sind zusätzliche klinische Angaben erforderlich (Anamnese, Medikamente, Serologie).
Anmerkung:
Eine akute virale Hepatitis wird nur sehr selten biopsiert, da bei gesicherter akuter Infektion keine Indikation zur Biopsie gegeben ist und viele Fälle klinisch inapparent verlaufen.
Klinik
Symptomatik:
Eine akute Virushepatitis kann subklinisch, selbstlimitiert symptomatisch oder fulminant mit Leberversagen verlaufen. Die akute Hepatitis A und B verursacht beim Erwachsenen gewöhnlich eine symptomatische Erkrankung. Die Hepatitis C dagegen verläuft oft subklinisch. Typische Symptome sind Müdigkeit, Appetitlosigkeit, Übelkeit, Erbrechen und Ikterus. Sehr hohe Aminotransferasewerte (>1000 U/l) und eine Hyperbilirubinämie sind typische Laborbefunde. Ein abnormer Quickwert bei Fehlen einer vorbestehenden Lebererkrankung deutet auf ein akutes Leberversagen hin.
Diagnostik:
Bei Verdacht auf akute virale Hepatitis sollten Anti-Hepatitis A-IgM, HBs-AG, Anti-HBc und Anti-HCV im Serum bestimmt werden. Zusätzlich sollte bei Verdacht auf akute Hepatitis C zusätzlich mittels PCR nach HCV-RNA gesucht werden, weil der HCV AK-Test zu diesem Zeitpunkt noch negativ sein kann (HCV-RNA bereits 2 Wochen nach Exposition nachweisbar, HCV-AK dagegen erst nach 8–12 Wochen.
Wichtigste Differentialdiagnose nach Ausschluß weiterer hepatotroper Erreger (CMV, EBV, Toxoplasmose) ist die medikamentös-toxische Hepatitis und die Autoimmunhepatitis. Bei einer akuten Hepatitis C wird in der Regel keine Biopsie durchgeführt.
Therapie:
Die akute Hepatitis C kann in einem hohen Prozentsatz durch Interferon alpha geheilt werden. Bei der akuten Hepatitis B ist hingegen keine antivirale Therapie indiziert, da in 90% eine Selbstheilung erfolgt.
Verlauf:
Eine chronische, länger als 6 Monate andauernde Hepatitis kann sich als Folge einer Hepatitis B, D (immer kombiniert mit Hepatitis B) oder C entwickeln.
update 7. September 2011