Histogenese:
Primäre Keimzelltumoren des Hodens, welche aus der malignen Transformation von primordialen Keimzellen entstehen, machen 95% aller Hodentumoren aus. Zu den nicht seminomatösen Hodentumoren gehören embryonale Karzinome, Teratome, Chorionkarzinome und Dottersacktumoren. Diese Subtypen können allein oder in Kombination auftreten und werden dann als gemischter Keimzelltumor bezeichnet mit Angabe des Prozentanteiles der einzelnen Formen. Gemischte Keimzelltumoren mit Seminomanteilen ( 1447) werden zu den nicht seminomatösen Hodentumoren gerechnet, da sie sich therapeutisch und prognostisch wie diese verhalten.
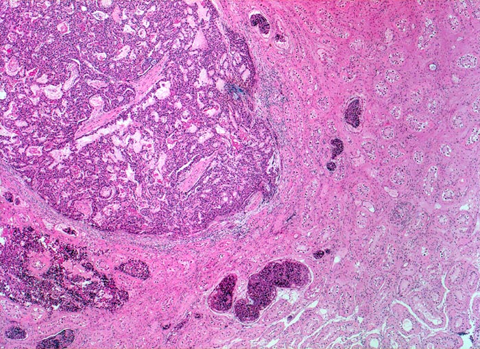
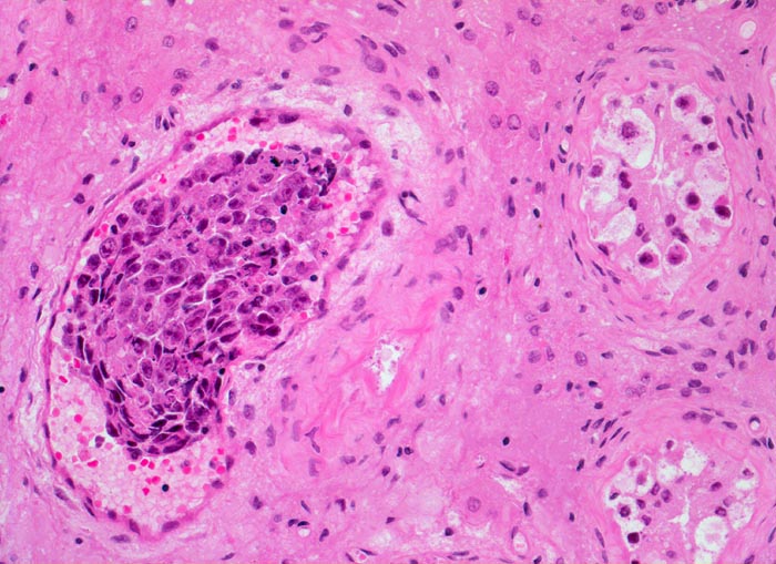
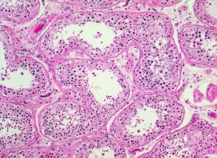
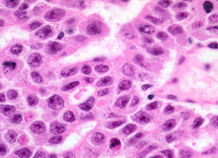
Morphologie:
Makroskopisch bilden die embryonalen Karzinome unscharf begrenzte, weiche, graubraune Tumorknoten mit Einblutungen und Nekrosen.
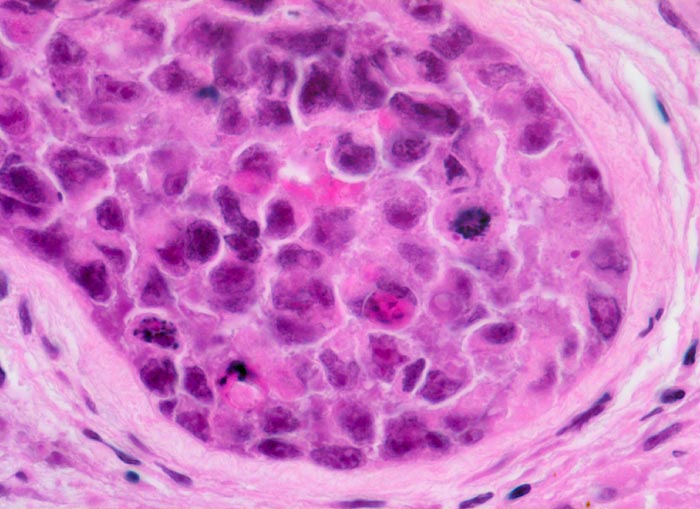
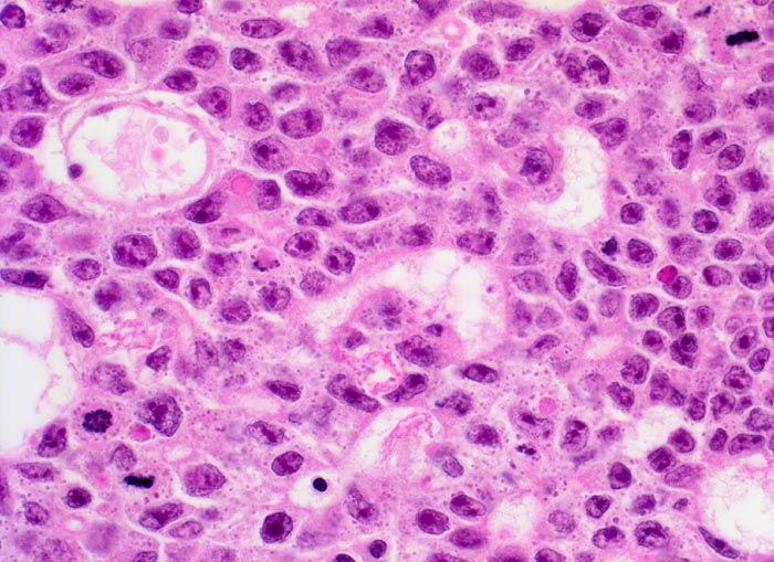
Histologisch bilden die Tumorzellen solide Zellplatten, Drüsen oder papilläre Strukturen mit Einblutungen und Nekrosen. Die Tumorzellen sind polygonal, kubisch oder zylindrisch, haben reichlich Zytoplasma und unscharfe Zellgrenzen. Die grossen Kerne haben grob verklumptes Chromatin und enthalten oft mehrere sehr grosse unregelmässige Nukleolen. Gefässeinbrüche und eine testikuläre intratubuläre Neoplasie sind in der Tumorumgebung häufig nachweisbar
Verlauf:
Nichtseminomatöse Hodentumoren metastasieren früh in retroperitoneale Lymphknoten und die Lunge.
Klinik
Vorkommen:
Jährlich versterben in der Schweiz 30 Männer an einem Hodentumor. Die Mortalität erscheint zwar insgesamt niedrig, gehört aber im Ländervergleich zu den höchsten in Europa. Embryonale Karzinome treten am häufigsten bei 15 bis 35 jährigen Patienten auf.
Symptomatik:
Fast alle Hodentumoren lassen sich durch die Palpation erfassen und führen den Patienten zum Arzt. Selten sind Symptome bedingt durch Metastasen oder eine Gynäkomastie. Bei 40% der Patienten ist der Tumor bei Diagnosestellung auf den Hoden beschränkt (Stadium I), bei 40% bestehen retroperitoneale Lymphknotenmetastasen (Stadium II) und bei 20% supradiaphragmatische Lymphknotenmetastasen oder Metastasen in viszeralen Organen (Stadium III).
Diagnostik:
Bei Verdacht auf Hodentumoren sind perkutane Biopsien nicht indiziert; die Diagnose wird im Zweifelsfall nach Hodenfreilegung im Schnellschnitt oder am Orchiektomiepräparat gestellt. Eine Erhöhung des beta hCG findet sich bei etwa 60% der Patienten. Das hCG wird von syncytiotrophoblastären Zellen im Tumor gebildet. Ein erhöhtes AFP deutet auf eine zusätzliche Komponente eines Dottersacktumors hin. AFP und hCG eignen sich als Tumormarker, die das Ansprechen auf Therapie und oder ein Tumorrezidiv anzeigen können.
Therapie:
Die testikulären Keimzelltumoren gliedern sich therapeutisch in die Gruppe der reinen Seminome und die Gruppe der Nichtseminome (hierzu gehören u. a. Tumoren, die neben Seminomanteilen auch nichtseminomatöse Areale aufweisen). Für alle Stadien ist die operative Primärbehandlung gleich. Nach der Ablatio testis erfolgt die Zusatztherapie stadiengerecht und beinhaltet eine operative Entfernung der retroperitonealen Lymphknoten und/oder eine Chemotherapie. Eine nach Chemotherapie verbliebene Tumormasse muss reseziert werden, da sie oft reife Teratomanteile enthält, die nicht auf Chemotherapie ansprechen.
Prognose:
Bei nichtseminomatösen Keimzelltumoren kann im Stadium I mit einer Fünfjahresüberlensrate von 100% gerechnet werden. Die Fünfjahresüberlebensrate bei Fernmetastasen beträgt zwischen 50 und 90%. Der histologische Nachweis von Blut- oder Lymphgefässinvasion und Anteile eines embryonalen Karzinoms in einem nicht seminomatösen Keimzelltumor sind die wichtigsten Risikofaktoren für ein Rezidiv. Die Nachkontrollen zur Erfassung eines Rezidivs müssen über mehrere Jahre regelmässig erfolgen.