Vorkommen der Hämochromatose:
Zur klinischen Manifestation der Erkrankung kommt es bei Männern mit homozygoter Mutation des Hämochromatosegens um das 40. Altersjahr, bei Frauen etwa 10 Jahre später. Die Prävalenz von Homozygoten wird auf 1:200-400 geschätzt. Die Mehrzahl dieser homozygoten Träger bleiben aber wegen geringer Penetranz asymptomatisch.
Symptome der Hämochromatose:
Die klassische Trias von Zirrhose, Bronze-Haut und Diabetes ist heute als Erstmanifestation selten geworden. Es überwiegen unspezifische Symptome wie Müdigkeit, Unwohlsein und Arthralgien. Bei Kombination mit häufig erhöhten Transaminasen oder einer Hepatomegalie sollte eine weitergehende Abklärung erfolgen.
Diagnostik der Hämochromatose:
Eine wiederholt nach Fasten bestimmte Transferrinsättigung von über 45% bei gleichzeitigem Vorliegen eines Serumferritins über 500 ng/ml machen nach Ausschluss einer sekundären Eisenüberladung das Vorliegen einer Hämochromatose wahrscheinlich. Da die klinischen Symptome der Hämochromatose sehr unspezifisch und die "klassischen" laborchemischen diagnostischen Tests in der frühen Diagnostik der Erkrankung unzuverlässig sind, ist die genetische Diagnostik von großer Bedeutung. Diese ist sinnvoll bei symptomatischen Patienten mit Transferrinsättigung >50% (2 Mal bestimmt). Die Bestimmung des Genotyps erlaubt nicht nur die Diagnose der Erkrankung beim Indexpatienten, sondern auch bei asymptomatischen Angehörigen. Da aber die Penetranz der homozygoten C282Y/C282Y und der compound heterozygoten C282Y/H63D Mutation nur 1-25% beträgt, ist der Nachweis der Mutation nicht gleichzusetzen mit der Diagnose einer hereditären Hämochromatose! Da 10-20% der Erkrankungen nicht durch HFE-Mutationen verursacht werden, schliesst ein negatives Ergebnis der Mutationsanalyse die Diagnose einer Hämochromatose nicht aus.
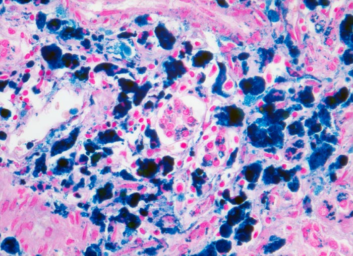
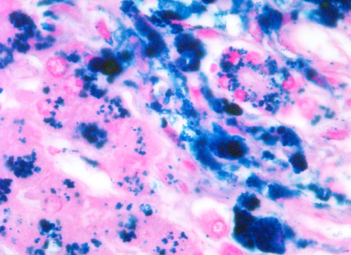
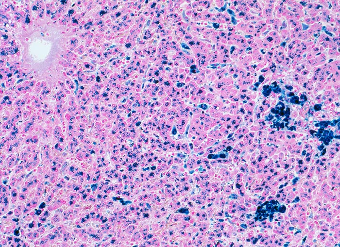
Bei Patienten mit nachgewiesener homozygoter/compound heterozygoter Mutation und starker Eisenüberladung bzw. fortgeschrittenem Alter oder bei zusätzlicher Leberpathologie (Alkohol, virale Hepatitis...) sollte die Leber biopsiert werden, um das Ausmass der Fibrose bestimmen zu können. Gleichzeitig kann am Frischmaterial der hepatische Eisenindex (hepatisches Eisen in Mikromol/g Trockengewicht : Alter) bestimmt werden. Ein Wert von über 1.9 ist vereinbar mit einer Hämochromatose auch bei Patienten mit fehlender HFE-Mutation. Patienten mit Leberzirrhose müssen wegen erhöhtem Risiko eines hepatozellulären Karzinoms regelmässig kontrolliert werden.
Therapie der Hämochromatose:
Die Therapie besteht bei Anzeichen einer pathologischen Eisenüberladung in den Organen oder einem Ferritin von über 1000 ng/ml in Aderlässen bis das Ferritin unter 50ng/ml sinkt.
Komplikationen der Hämochromatose:
Leberzirrhose, hepatozelluläres Karzinom, Kardiomyopathie, Diabetes mellitus, Arthritis und Hodenatrophie.
Prognose:
Unbehandelt führt die Hämochromatose über die Leberzirrhose, ein konsekutives hepatozelluläres Karzinom oder durch kardiale Beteiligung zum Tod. Risikofaktoren für eine manifeste Erkrankung sind männliches Geschlecht, virale Hepatitiden, Alkohol, Adipositas und Gen-Polymorphismen.
update 2. September 2022