Basel 1MA/ Invasives papilläres Urothelkarzinom

Diagnose
Invasives papilläres Urothelkarzinom
Diagnose Gruppe
maligner Tumor
Differenzialdiagnose
  • - Wenig differenziertes Plattenepithelkarzinom- Lymphom
Topographie Gruppe
Niere, Harnwege
Topographie
Harnblase
Einleitung
Lokalisation:
Urothelkarzinome entstehen zu über 90% in der Harnblase, können aber auch von Nierenbecken, Ureter oder Urethra ausgehen. Nicht selten sind multizentrische Tumoren (Feldeffekt der einwirkenden Noxen, Implantationsmetastasen). Bei Urothelkarzinomen der oberen Harnwege wird in einem Drittel bis zur Hälfte der Patienten später ein Blasenkarzinom gefunden.

Histogenese:
Mehr als 90% der epithelialen Tumoren des Urogenitaltrakts entfallen auf Urothelkarzinome, der Rest auf Plattenepithelkarzinome, Adenokarzinome ausgehend von Urachusresten und kleinzellige Karzinome.

Morphologie:
Bei den invasiven Urothelkarzinomen der Harnblase unterscheidet man nach dem Wachstumsmuster papilläre und solide Karzinome. Invasive Urothelkarzinome weisen oft deutlichen Zellatypien auf (geringer Differenzierungsgrad). Zumindest herdförmige plattenepitheliale oder adenomatöse Differenzierungen (Metaplasien) kommen oft vor und haben keine prognostische Bedeutung. Eine Ausnahme bilden kleinzellige Karzinomanteile, die die Prognose deutlich verschlechtern. Ausserhalb des invasiven Karzinoms zeigt das Urothel gehäuft ein Carcinoma in situ. (> 3629) (> 3401).
Drei histologische Varianten des Urothelkarzinoms (plasmazytoid, nested und mikropapillär) weisen eine besonders schlechte Prognose auf. Mikropapilläre Karzinome (> 7923) kommen auch in anderen Organen vor (z.B. Mamma, Lunge) und zeichnen sich durch eine sehr hohe lymphogene Metastasierungsrate aus.

Genetik:
Invasive und high grade Urothelkarzinome (pTa G3, pT1-4, Carcinoma in situ) sind genetisch instabile Tumoren mit zahlreichen chromosomalen Veränderungen, Genamplifikationen sowie Mutationen und Deletionen von p53. Das Progressionsrisiko ist im Vergleich zu den low grade Urotheltumoren deutlich erhöht.
update 7. September 2011
Klinik
Vorkommen:
20-30% der Urothelneoplasien sind invasiv wachsende Urothelkarzinome. Es sind überwiegend alte Patienten betroffen. Urothelkarzinome sind beim Mann viermal häfiger als bei der Frau.

Risikofaktoren:
Als Risikofaktoren gelten Nikotinabusus (wichtigster Risikofaktor in den industrialisierten Ländern mit 50% aller Tumoren), chemische Karzinogene, chronische Urozystitis und Phenazetinabusus.

Symptomatik:
Die Patienten bemerken eine Hämaturie und/oder Dysurie. Gewichtsverlust, Fieber, Leuko- und Thrombozytose deuten auf ein fortgeschrittenes Stadium hin. Vielfach sind der Entdeckung des invasiven Karzinoms zahlreiche transurethrale Resektionen von nicht invasiven papillären Urotheltumoren vorausgegangen.

Diagnostik:
Patienten mit Hämaturie nach dem 40. Lebensjahr müssen mit einer Zystoskopie mit Biopsie und kompletter Abtragung suspekter Befunde sowie mittels Urinzytologie abgeklärt werden. Da der Tumor makroskopisch oft schlecht sichtbar ist, werden systematisch von verschiedenen Stellen Biopsien entnommen (sogenanntes Mapping). Die Urinzytologie erfasst auch die selteneren extravesikalen Tumoren, die der Zystoskopie nicht zugänglich sind. Falls zystoskopisch ein möglicherweise invasiver Tumor vorliegt, ist zusätzlich eine Computertomographie notwendig. Aufgrund der grossen Häufigkeit von Chromosomenveränderungen können invasiv wachsende Urotheltumoren mit molekular-zytogenetischen Hilfsuntersuchungen (Fluoreszenz in situ Hybridisierung; FISH) von Zellen im Urin fast immer diagnostiziert werden. Die FISH Untersuchung ist dabei sensitiver und spezifischer als eine alleinige zytologische Untersuchung des Urins.
Sensitivität und Spezifität von Urin-Streifentests und -Zytologie sind für ein bevölkerungsweites Screening ungenügend. Zusammen mit der vergleichsweise tiefen Inzidenz würden ein zu hoher Abklärungsaufwand und zu hohe Kosten resultieren.

Therapie:
Wenn keine Metastasen vorliegen, kann ein Patient durch radikale operative Eingriffe (Zystektomie mit pelviner Lymphknotendissektion, Nephrektomie) geheilt werden. Bei inoperablen Patienten sollten eine potentiell kurative Bestrahlung oder Chemo-/Radiotherapie erhalten. Bei den primär metastasierten Urothelkarzinomen versprechen Chemotherapien einen guten palliativen Effekt.

Prognose:
Insgesamt ist die Prognose invasiver Karzinome schlecht. Nur 30% dieser Patienten überleben 3 Jahre. Falls eine Zystektomie durchgeführt werden kann, ist die Prognose besser (50% 5-Jahres Überleben).
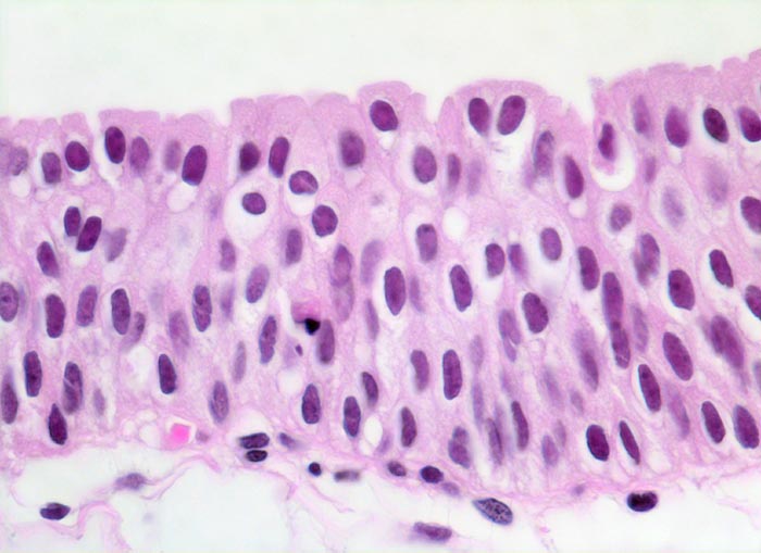
Normalbefund
Morphologie
Morphologische Merkmale:
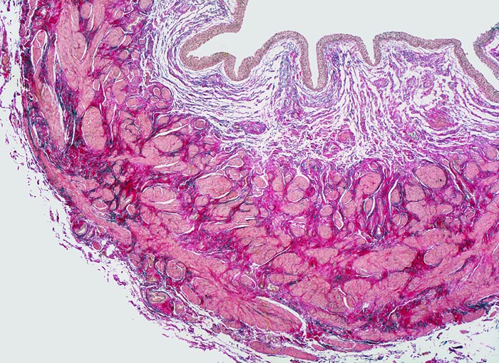
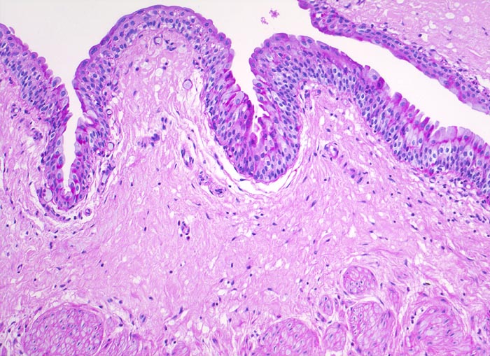
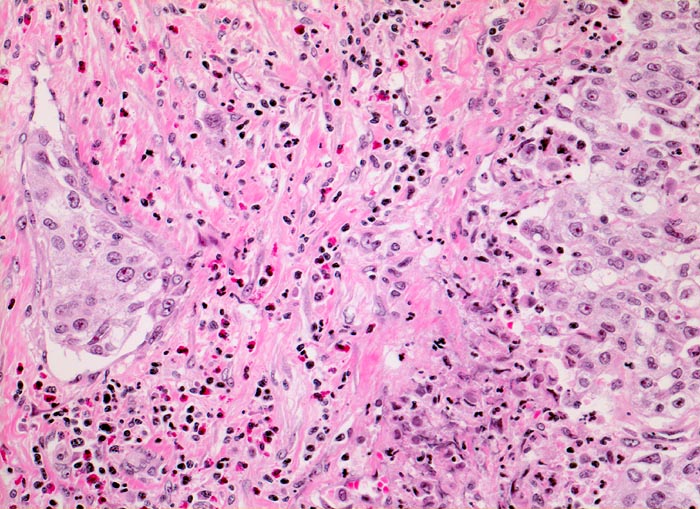
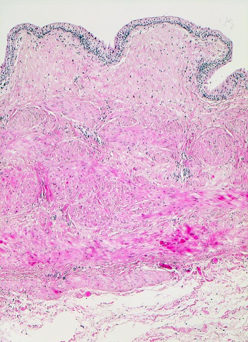
  • Multiple Fragmente einer transurethralen Resektion.
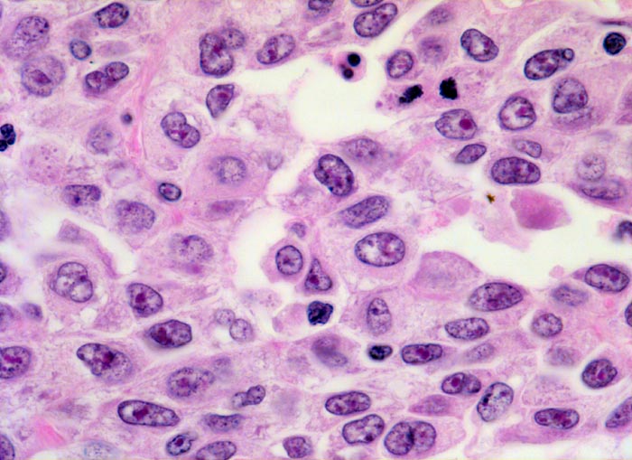
  • In der Mitte oben ist ein Harnblasenfragment mit tumorfreien Anteilen der Harnblasenwandmuskulatur erkennbar. Dieses Fragment ist bedeckt von einem aus wenigen Zellagen bestehenden dyskohäsiven Urothel, von dem sich einzelne Zellen ablösen. Die Zellkerne sind pleomorph, hyperchromatisch und vergrössert(Carcinoma in situ des tumorfernen Urothels).
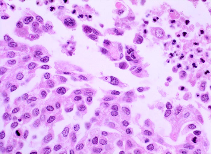
  • Fragmente eines papillär aufgebauten Karzinoms.
  • Tumorzellkerne mit ausgeprägter Pleomorphie und Hyperchromasie sowie prominenten Nukleolen. Fehlende polare Ausrichtung der Tumorzellen. Zahlreiche Mitosen und Apoptosen.
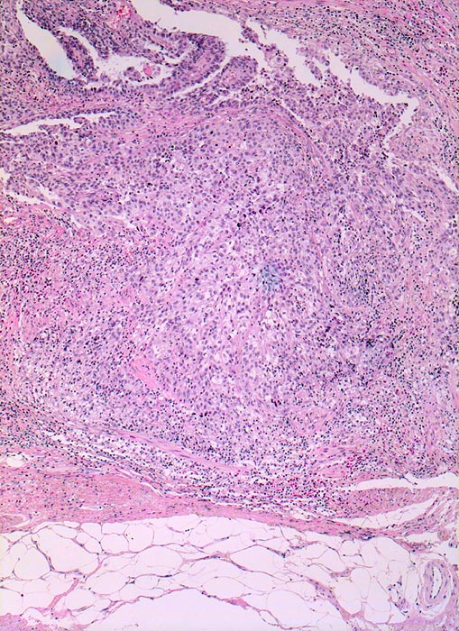
  • Kleinherdige Tumornekrosen.
  • Invasion der Lamina propria (Tumorfragmente links): Kleine Tumorzellgruppen oder Einzelzellen haben die Basalmembran an wenigen Stellen durchbrochen und liegen in der Lamina propria.
  • Begleitendes dichtes gemischtes Entzündungsinfiltrat.
Das sollte der Kliniker dem Pathologen mitteilen:
  • Genaue Lokalisation des Tumors.
  • Urotheltumoren in der Vorgeschichte.
Makroskopie
Befund
Pathologischer Befund
Normalbefund
Datum
Ersteintrag: 17.03.2019
Update: 04.02.2024