Basel 1MA/ Myxoides Liposarkom

Diagnose
Myxoides Liposarkom
Diagnose Gruppe
maligner Tumor
Differenzialdiagnose
  • - Lipom- Myxom
Topographie Gruppe
Weichteile
Topographie
Muskel, untere Extremität
Einleitung
Aetiologie:
Myxoide und rundzellige Liposarkome weisen typischerweise FUS-DDIT3 oder EWSR1-DDIT3 Translokationen auf, wobei es sich um eine für diesen Tumortyp sehr spezifische Aberration handelt.

Lokalisation:
Liposarkome im Allgemeinen entstehen meist nicht im oberflächlichen, sondern im tiefen Weichgewebe. Prädilektionsstellen sind untere Extremitäten, Retroperitoneum und Schulter.

Morphologie und Prognose:
Histologisch, biologisch und molekularbiologisch lassen sich verschiedene Subtypen mit unterschiedlicher Prognose unterscheiden: hochdifferenziert, myxoid / rundzellig, pleomorph und dedifferenziert. Die myxoiden Liposarkome sind histologisch durch Lipoblasten, ein Netzwerk feiner plexiformer Kapillaren (sog. chicken-wire Muster) und eine myxoide Matrix mit reichlich sauren Mucopolysacchariden gekennzeichnet. Die Zellularität spiegelt das biologische Verhalten wieder: hochdifferenzierte Tumoren sind hypozellulär. Am anderen Ende des morphologischen Spektrums steht das zelldichte rundzellige Liposarkom, das Ähnlichkeit mit einem klein-, blau- und rundzelligen Sarkom aufweist, sich aggressiv verhält und metastasieren kann. Für das Metastasierungsrisiko ist der Anteil der rundzelligen Komponente entscheidend (<5% = 23%, 5-10% = 35%, >25% = 58%).

Andere Subtypen von Liposarkomen:
Von den anderen Liposarkomen hat der pleomorphe Subtyp ebenfalls eine schlechte Prognose.
Hochdifferenzierte Liposarkome (molekulargenetisch gekennzeichnet durch Amplifikationen des MDM2 und CDK4 Gens) unterscheiden sich prognostisch nach ihrem Entstehungsort. Während Tumoren in den Extremitäten chirurgisch meist geheilt werden können und daher synonym auch als atypische lipomatöse Tumoren (ALT) bezeichnet werden, können hochdifferenzierte Liposarkome im Retroperitoneum i.d.R. nicht vollständig entfernt werden und nach wiederholten Rezidiven zum Tod des Patienten führen. Wie andere hochdifferenzierten Sarkome kann es im Verlauf (oder seltener bereits bei der Erstmanifestation) zu einer Dedifferenzierung (Übergang in ein z.T. heterolog differenziertes high-grade Sarkom) und damit zu einer deutlichen Prognoseverschlechterung kommen.

update 5.9.2018
Klinik
Vorkommen:
Liposarkome im Allgemeinen machen 10-16% aller Weichteilsarkome aus und etwa 5% der Weichteilsarkome bei Kindern. Das mittlere Alter bei Diagnosestellung liegt bei 50 Jahren. Männer sind doppelt so häufig betroffen.

Symptomatik:
Meist bemerken die Patienten eine langsam wachsende, gut umschriebene, über Monate langsam an Grösse zunehmende Raumforderung. Einzelne Tumoren können auch schnell wachsen oder Schmerzen verursachen.

Diagnostik:
Neben den bildgebenden Verfahren stellt die Biopsie einen Hauptpfeiler der Diagnostik dar. Für oberflächlich gelegene und kleine Tumoren (<5cm) stellt die Exzisionsbiopsie das Vorgehen der Wahl dar. In allen anderen Fällen sollte eine Biopsie durchgeführt werden. Auch bei nur kleinen Gewebeproben kann durch die molekulargenetische Testung i.d.R. eine eindeutige Diagnose gestellt werden. Beim Biopsieren muss so vorgegangen werden, dass die ursprüngliche Biopsiestelle bei der nachfolgenden Operation vollständig miterfasst werden kann.

Therapie:
Tumorhistologie und anatomische Verhältnisse bestimmen das weitere therapeutische Vorgehen. Myxoide Liposarkome sind ausgesprochen Radiotherapie-sensibel und sprechen u.a. auf Trabectedin an, das sich unmittelbar gegen die DNA Bindung des FUS-DDIT3 Fusionstranskripts richtet.

update 5.9.2018
Normalbefund
Morphologie
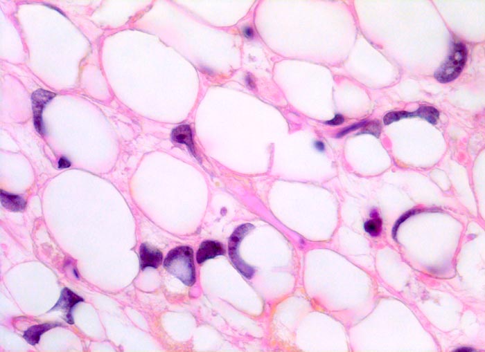
Morphologische Merkmale:
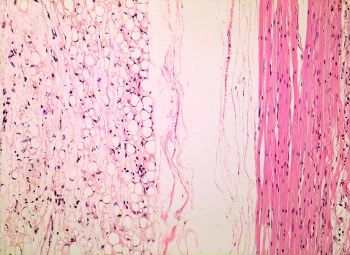
  • Am rechten Rand des Präparates komprimierte Skelettmuskulatur.
  • Links daran angrenzender scharf begrenzter Tumor mit reichlich myxoidem Stroma.
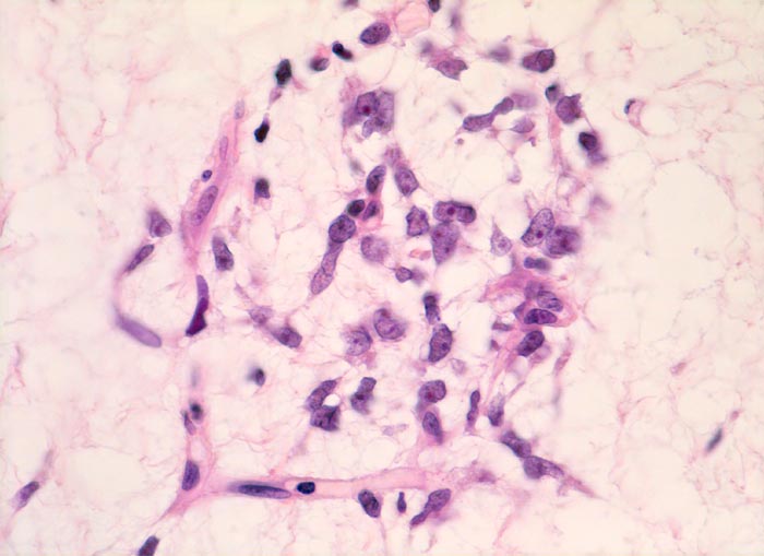
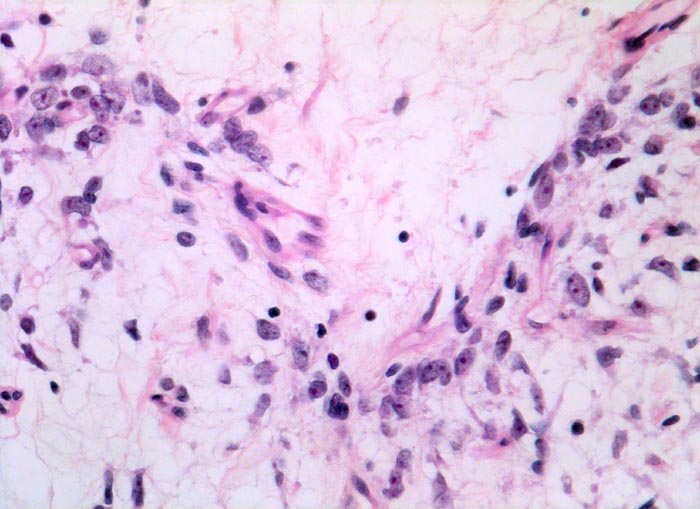
  • Zahlreiche, überwiegend univakuoläre Lipoblasten. Zellkern durch die Lipidvakuole komprimiert und zur Seite verdrängt.
  • Zahlreiche krähenfussartig verzweigte Kapillaren.
  • Die rundzelligen Anteile erscheinen in der Übersicht aufgrund des Zellreichtums dunkler. Sie bestehen aus dicht gelagerten zytoplasmaarmen Tumorzellen mit vesikulären runden Kernen und einem prominenten Nukleolus.
Das sollte der Kliniker dem Pathologen mitteilen:
  • Genaue Lokalisation.
  • Radiologischer Befund.
  • Vollständige oder Teilresektion.
  • Erstbefund oder Rezidiv.
Praxis-Tipp:
  • Markierung der Resektionsränder (ev. Skizze zur Orientierung).
Makroskopie
Befund
Pathologischer Befund
Normalbefund
Datum
Ersteintrag: 10.07.2019
Update: 04.02.2024