n/ Kleinzelliges Bronchuskarzinom

Diagnose
Kleinzelliges Bronchuskarzinom
Diagnose Gruppe
maligner Tumor
Differenzialdiagnose
  • Basalzellen
  • Lymphom
Topographie Gruppe
Lunge, Mediastinum mit Thymus
Topographie
Bronchus
Einleitung
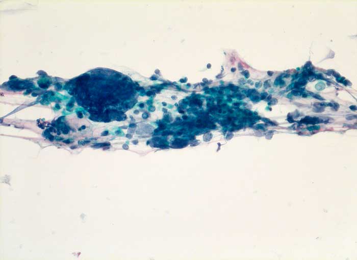
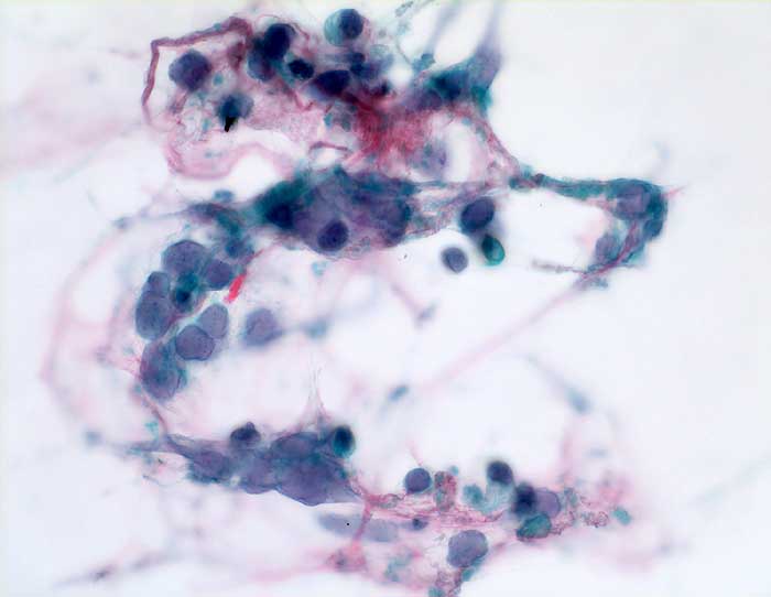
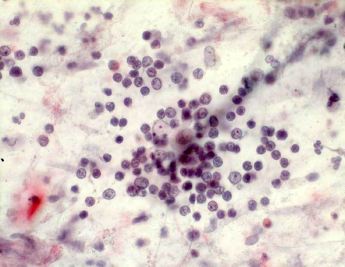
Der Nachweis des kleinzelligen Karzinoms gelingt im Sputum meist leichter als im Bronchialsekret. Im Bronchialsekret sind die Tumorzellen oft zwischen Flimmerzellen und Entzündungszellen versteckt, während die stark hyperchromatischen Kerne im Sputum schon bei schwacher Vergrösserung ins Auge fallen. Die fast nacktkernigen Zellen liegen einzeln oder bilden schmale zeilenförmige Verbände und Haufen. Innerhalb der Verbände schmiegen sich die Kerne eng aneinander (=molding). Die Kerne sind zwei- bis dreimal so gross wie Lymphozyten. Im Sputum erscheinen die Karzinomzellen kleiner als im Feinnadelpunktat, Bürstenabstrich oder Bronchialsekret.
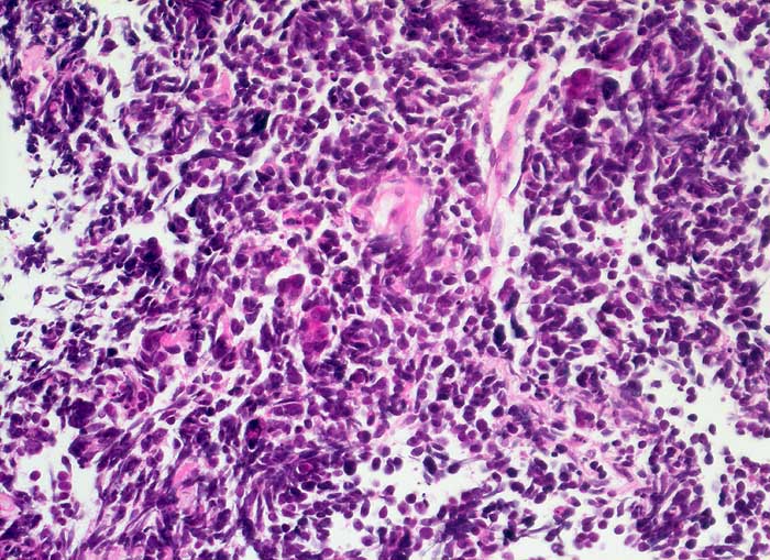
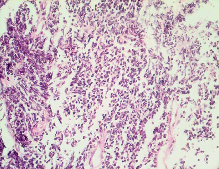
Basalzellen sind monomorpher und bilden kleine, regelmässige kompakte Verbände. Lymphomzellen liegen stets einzeln. Feindisperse Chromatinverteilung und zeilenförmige Verbände sprechen gegen ein Lymphom. In Zweifelsfällen erfolgt die Unterscheidung immunzytochemisch (Panzytokeratin und CD45).
Das ersten Beispiel zeigt ein Bronchialsekret, das zweite eine Bronchialbürstenzytologie.
Klinik
-
Normalbefund
Morphologie
Makroskopie
Virtuelles Präparat
Befund
Pathologischer Befund
Normalbefund
Literatur
Datum
Ersteintrag: 12.04.2003
Update: 04.02.2024