pit/ Kleinzelliges Karzinom und reaktive Epithelatypien

Diagnose
Kleinzelliges Karzinom und reaktive Epithelatypien
Diagnose Gruppe
maligner Tumor
Differenzialdiagnose
Topographie Gruppe
Lunge, Mediastinum mit Thymus
Topographie
Bronchialbürste, Zytologie
Einleitung
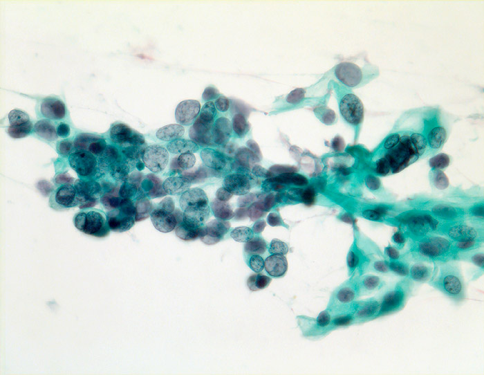
Die Bronchialschleimhaut im Randbereich von Karzinomen oder über submukös wachsenden Tumoren kann erhebliche reaktive Atypien oder eine Plattenepithelmetaplasie aufweisen. In solchen Fällen besteht die Gefahr, dass einzeln liegende oder schlecht erhaltene Karzinomzellen inmitten der eindrücklichen reaktiven Epithelatypien übersehen werden. Im vorliegenden Falle eines kleinzelligen Karzinoms hätten reaktive Atypien des Bronchialepithels zur Fehldiagnose eines Adenokarzinoms verleiten können, zumal die unscheinbaren Karzinomzellen beim Screenen übersehen wurden.
Klinik
-
Normalbefund
Morphologie
Makroskopie
Virtuelles Präparat
Befund
Pathologischer Befund
Normalbefund
Literatur
Datum
Ersteintrag: 01.04.2003
Update: 04.02.2024