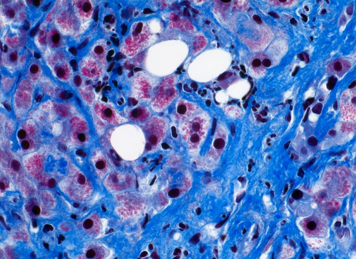
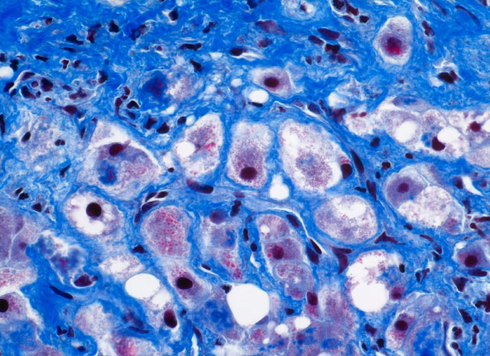
AP/ Floride alkoholische Steatohepatitis

Diagnose
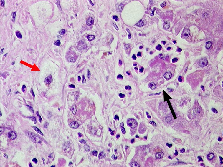
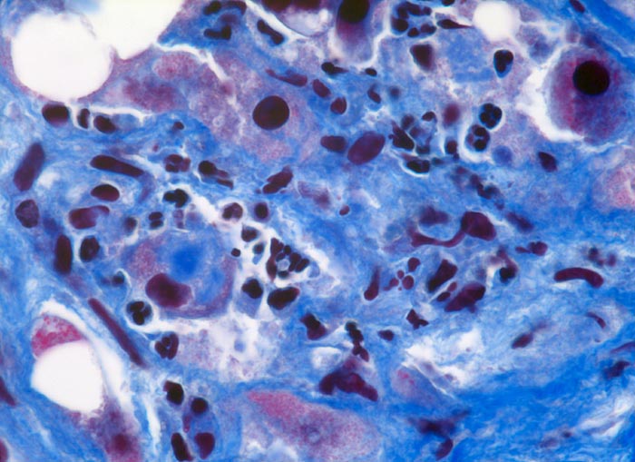
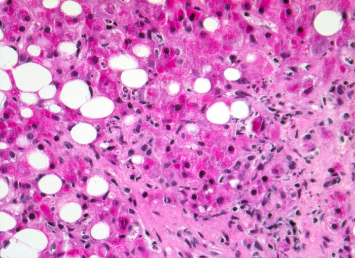
Floride alkoholische Steatohepatitis
Diagnose Gruppe
Therapiefolgen
Differenzialdiagnose
Topographie Gruppe
Leber, Gallenwege, Pankreas
Topographie
Leber
Einleitung
-
Klinik
-
Normalbefund
Morphologie
-
Makroskopie
Virtuelles Präparat
Befund
Pathologischer Befund
Normalbefund
Literatur
Datum
Ersteintrag: 11.02.2004
Update: 04.02.2024