AP/ Uterines Leiomyosarkom

Diagnose
Uterines Leiomyosarkom
Diagnose Gruppe
maligner Tumor
Differenzialdiagnose
Topographie Gruppe
Mamma
Topographie
Uterus
Einleitung
Histogenese:
Leiomyosarkome leiten sich wie Leiomyome ab von glatten Muskelzellen. Entsprechend sind Tumorzellen in den immunhistochemischen Färbungen positiv für die glattmuskulären Marker glattmuskuläres Aktin und Desmin.
 
Morphologie:
Makroskopische Merkmale: Leiomyosarkome sind typischerweise solitär. Gelegentlich sind sie aber assoziiert mit Leiomyomen. In solchen Fällen findet man das Sarkom meist im grössten Knoten. Die durchschnittliche Grösse beträgt 10cm. Im Gegensatz zu den Leiomyomen sind die Sarkome weniger scharf begrenzt, die Schnittfläche ist weich, fleischig und fokal oft nekrotisch oder hämorrhagisch. Die wirblige Struktur des Leiomyoms fehlt. Myxoide Leimyosarkome sind gelatinös und oft scharf begrenzt. 
 
Mikroskopische Merkmale in Abgrenzung zum Leiomyom: 

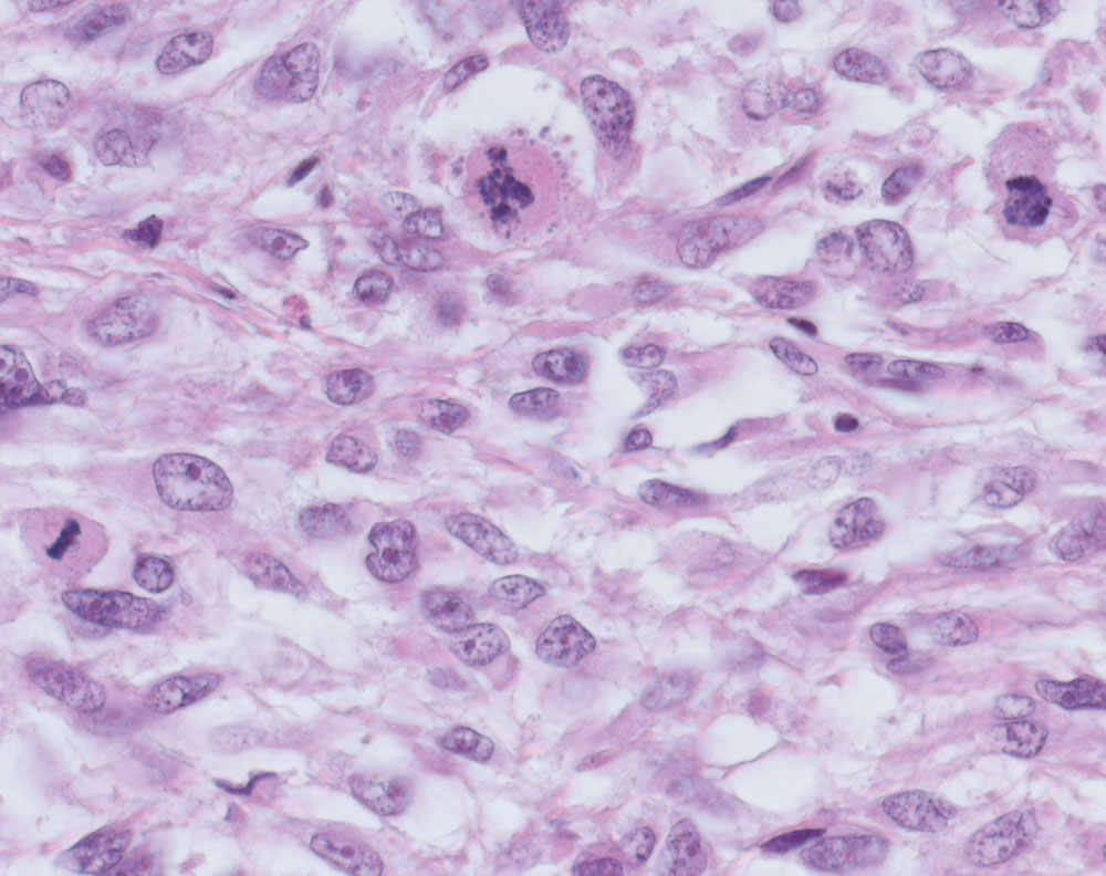
  • Deutliche zytologische Atypien
  • Mitosezahl (10 oder mehr pro 10 hochauflösende Gesichtsfelder (HPF), mehr als 1 pro 10 HPF bei der myxoiden Variante) 
  • Tumornekrosen

Für die Diagnose eines spindelzelligen Leiomyosarkoms müssen mindestens zwei der obigen Kriterien erfüllt sein. Für die Diagnose der selteneren epitheloiden oder noch selteneren myxoiden Leiomyosarkome muss mindestens eines der obigen Kriterien erfüllt sein. Für extrauterine Leiomyosarkome gelten wiederum andere diagnostische Kriterien.

Meist besteht ein infiltratives Wachstum in der Peripherie und in etwa 20% findet sich eine Gefässinvasion. Nekrosen vom Infarkttyp können auch in gutartigen Leiomyomen unter oraler Kontrazeption, bei Schwangeren, post partum und unter Therapie mit GnRH Analoga vorkommen und stellen deshalb im Gegensatz zu Tumornekrosen kein Malignitätskriterium dar.

Verlauf:
Das Leiomyosarkom kann umliegende Organe (Harnblase, Rektum) infiltrieren. Die Metastasierung erfolgt vorwiegend hämatogen in die Lungen. 
 
update 30. August 2023 

Klinik
Vorkommen:
Das uterine Leiomyosarkom ist das häuigste Sarkom des weiblichen Genitaltrakts. Am häufigsten sind Frauen im 6. Lebensjahrzehnt betroffen. Nur etwa einer von 800 glattmuskulären Tumoren des Uterus ist ein Leiomyosarkom.
 
Symptomatik:
Leiomyosarkome führen zu vaginalen Blutungen, Schmerzen und einem vergrösserten Uterus. Bei Diagnosestellung liegt in einem Sechstel bis der Hälfte der Fälle eine extrauterine Ausbreitung vor. 
 
Therapie:
Angesichts des relativ schlechten Ansprechens auf Strahlen- und Chemotherapie stellt die Operation die Therapie der Wahl bei Uterussarkomen dar. Meist wird eine Hysterektomie und Adnexektomie durchgeführt. In ausgewählten Fällen (längeres krankheitsfreies Intervall, guter Allgemeinzustand) ist auch bei Vorliegen von Metastasen eine operative Intervention zu überdenken (Resektion isolierter Lungenmetastasen). 
 
Prognose:
Die 5 Jahres-Überlebensrate liegt zwischen 15 bis 30%. In der Regel führen Fernmetastasen zum Tod. 
 
update 30. August 2023 

Morphologie
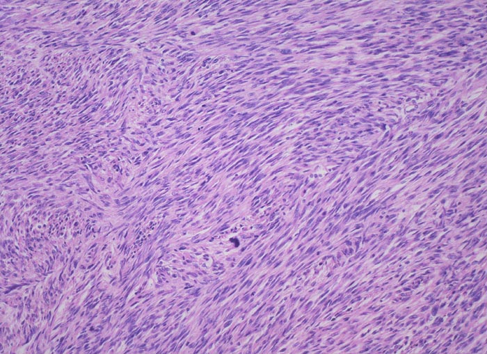
Morphologische Merkmale: 
  • Tumordurchmesser meist mehr als 10cm. 
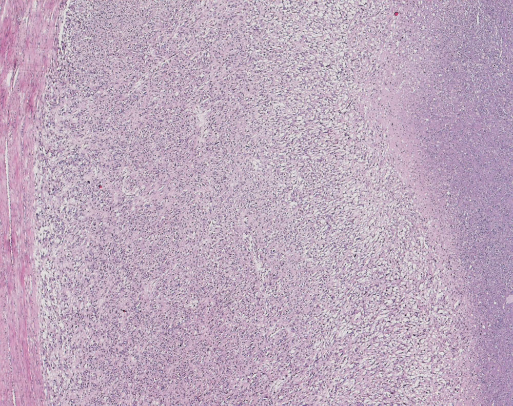
  • Stellenweise unscharfe Begrenzung des Sarkoms zum nicht neoplastischen Myometrium (Fragment oben rechts). 
  • Die spindeligen Tumorzellen mit längsovalen Kernen und reichlich kräftig eosinophilem Zytoplasma bilden Faszikel ähnlich wie nicht neoplastische glatte Muskulatur. 
  • Alle drei histologischen Malignitätskriterien sind erfüllt: 
    • Tumornekrosen. 
    • Bereits in der Übersicht (10x) erkennbare diffuse signifikante Zellatypien. 
    • Vermehrt Mitosen: mehr als 10 Mitosen / 10 HPF (40x). Das sollte der Kliniker dem Pathologen mitteilen: 
  • Alter der Patientin (meist postmenopausal) 
  • Rasches Wachstum. 
  • Tumorbedingte Symptomatik: Schmerzen, Dysmenorrhoe, Probleme beim Wasserlösen oder veränderte Stuhlgewohnheiten. 
Makroskopie
Virtuelles Präparat
Befund
Pathologischer Befund
Normalbefund
Datum
Ersteintrag: 04.11.2018
Update: 04.02.2024