Einleitung
Aetiologie:
Ein Niereninfarkt stellt eine ischämische Nekrose infolge eines arteriellen Gefässverschlusses dar. 90% der Infarkte werden durch Embolien oft im Rahmen eines Morbus embolicus verursacht (80% davon bei Myokardinfarkt). Seltener sind Infarkte bei Thrombosen der Arteria renalis infolge einer Atherosklerose, Thrombosen peripherer Nierenarterienäste bei Vaskulitis oder thrombotischer Mikroangiopathie, Gefässverschlüsse durch Ligatur, Aortendissektion oder Trauma.
Morphologie:
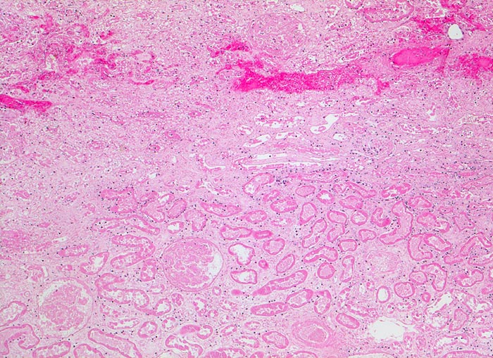
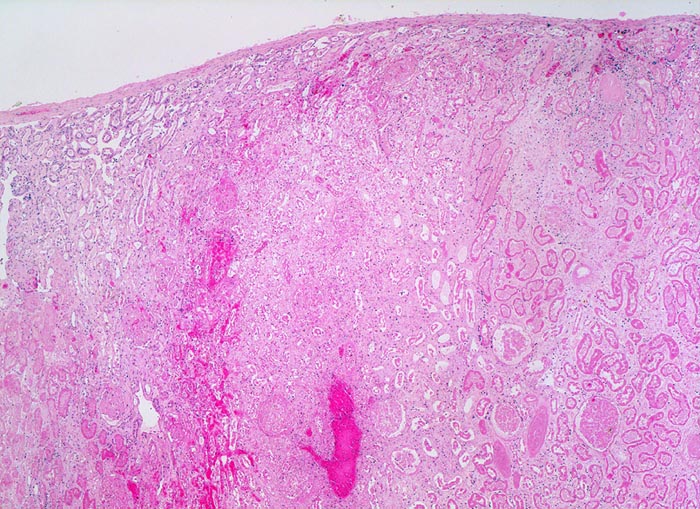
Je nach Grösse des verschlossenen Gefässes sind unterschiedlich grosse (wenige Millimeter bis mehrere Zentimeter) solitäre oder multiple scharf begrenzte Herde erkennbar. Nach etwa einer Woche imponiert der akute Infarkt als gelber erhabener Bezirk mit 2-5mm breitem rotem Randsaum. Subakute Infarkte bilden flache homogene rote Herde. Nach Monaten bildet sich eine scharf begrenzte weisse Narbe aus. Infolge unterschiedlicher Kollateralversorgung z.B. via Arteria spermatica oder ovarica führt der Verschluss der Arteria renalis nicht immer zur Totalnekrose. Das Endstadium grosser Infarkte bildet die grob gebuckelte Infarkt-Schrumpfniere.
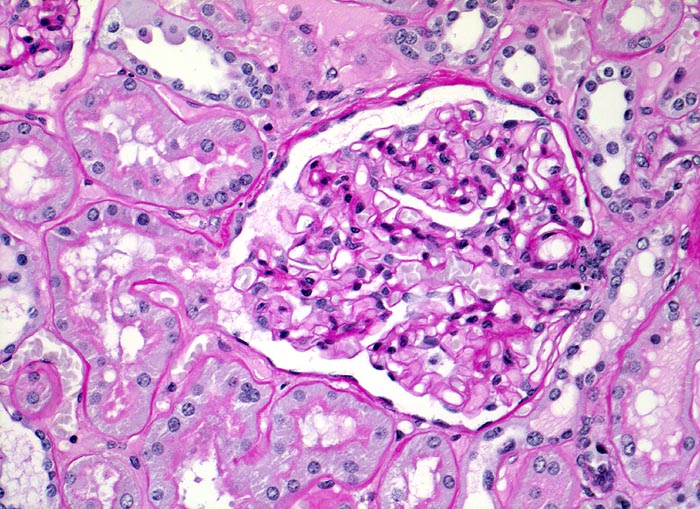
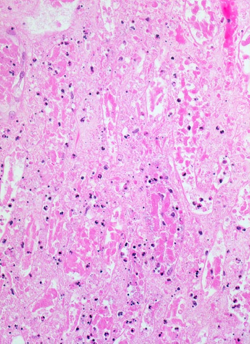
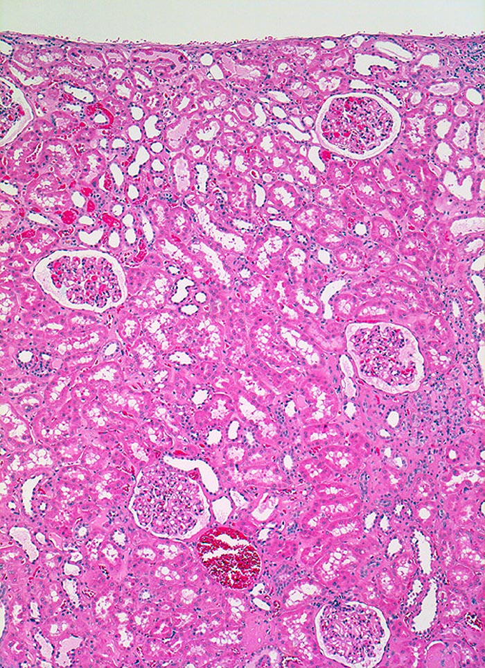
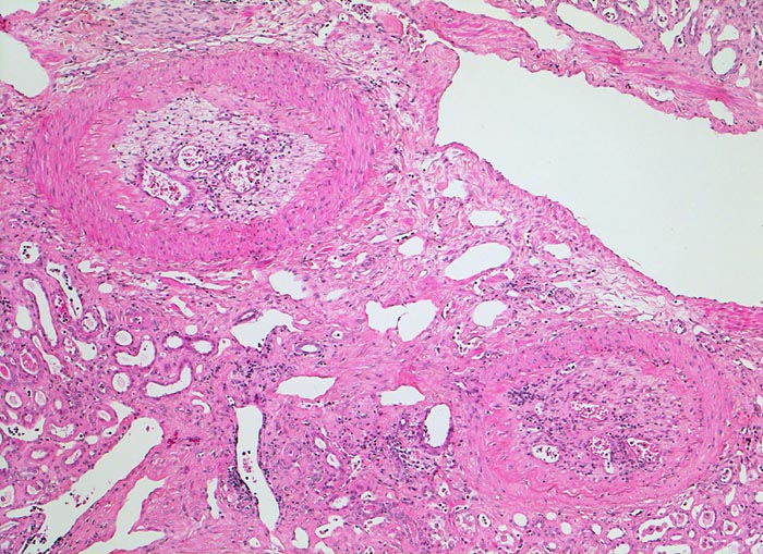
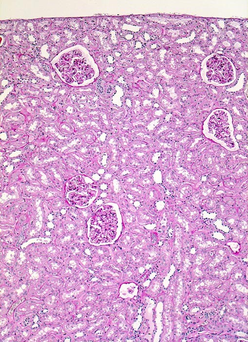
Akute Infarkte bilden histologisch scharf begrenzte kokardenförmig aufgebaute Herde mit zentraler Koagulationsnekrose umgeben von einem Saum neutrophiler Granulozyten. In der Peripherie ist das partiell geschädigte Gewebe ödematös hämorrhagisch und enthält dilatierte hyperämische Gefässe. Die Nekrose wird durch neutrophile Granulozyten und Makrophagen abgebaut und durch Granulationsgewebe ersetzt, welches zu einer gefässarmen Narbe schrumpft. Die äusserste Rindenzone bleibt infolge der Kollateralversorgung durch Kapselgefässe oft vom Infarkt ausgespart. Infarktnarben können wie alle Narben verkalken.
Klinik
Vorkommen:
Niereninfarkte sind bei 1% aller Autopsien und 4% aller Autopsien von Patienten mit Myokardinfarkt nachweisbar.
Symptomatik:
Kleine Infarkte verursachen keine subjektiven Symptome. Grössere Infarkte führen zu Flankenschmerzen, Mikro- oder Makrohämaturie und geringerer Proteinurie. Bei 50% der Patienten besteht vorübergehend Fieber. Ein bilateraler Gefässverschluss kann zum akuten Nierenversagen mit terminaler Urämie führen.
Komplikationen:
Als seltene Komplikationen werden perirenale Hämatome oder infizierte Infarkte beobachtet.
Therapie:
Beim Vorliegen arterieller Embolien ist eine orale Antikoagulation indiziert.