Pathopic
HiPaKu
ZyPaKu
PathoBasic
PathoBasic Cytology
Quizzes
Projektinfos
PathoPic - Projekt- und Copyright-Infos
About
Pathopic
HiPaKu
ZyPaKu
PathoBasic
PathoBasic Cytology
Quizzes
AP/ Morbus Whipple
Diagnose
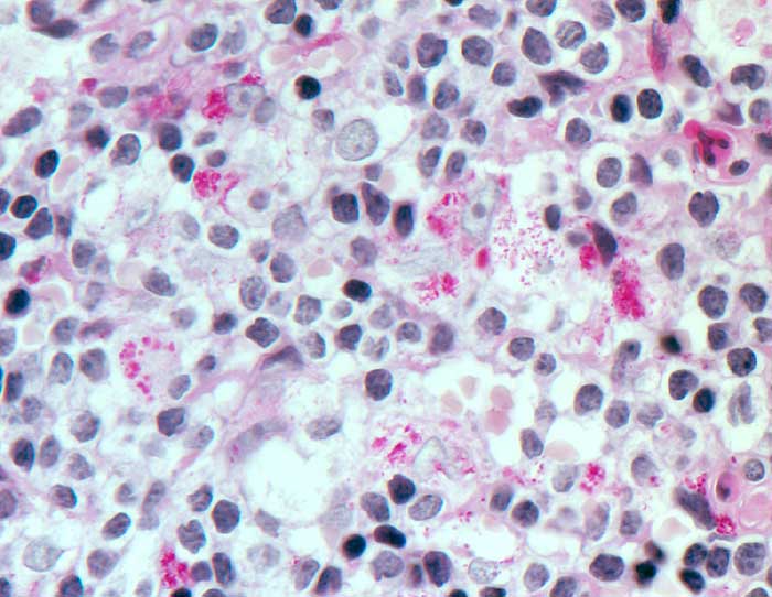
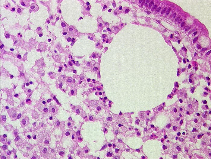
Morbus Whipple
Diagnose Gruppe
Entzündung infektiös
Differenzialdiagnose
Topographie Gruppe
Darm, Anus
Topographie
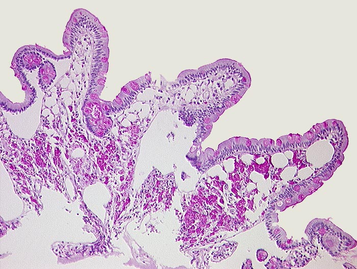
Dünndarm
Einleitung
-
Klinik
-
Normalbefund
Morphologie
-
Makroskopie
Virtuelles Präparat
Befund
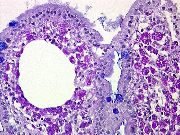
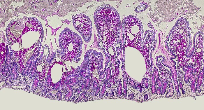
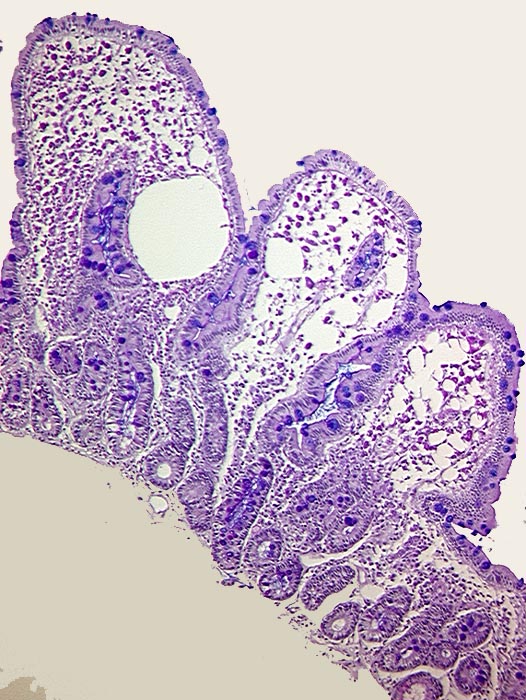
Pathologischer Befund
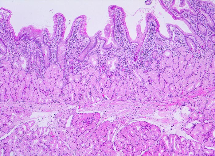
Normalbefund
Literatur
Datum
Ersteintrag: 11.02.2004
Update: 04.02.2024
CPS
·
©
2024 Institut für Pathologie Basel
/
Dr. med. Katharina Glatz-Krieger
.
·
v2.1