Basel 3BA FS/ Endometrioides Adenokarzinom des Uteruscorpus

Diagnose
Endometrioides Adenokarzinom des Uteruscorpus
Diagnose Gruppe
maligner Tumor
Differenzialdiagnose
  • - Seröses Adenokarzinom- Dottersacktumor
Topographie Gruppe
Mamma
Topographie
Uterus
Einleitung
Histogenese:
Karzinome im Bereich des Corpus uteri sind bis auf wenige Ausnahmen Adenokarzinome ausgehend von den Endometriumdrüsen. Der Begriff Endometriumkarzinom umfasst mehrere Entitäten, von denen das häufigste (80%) das endometrioide Adenokarzinom ist (Histokurspräparat), welches in den meisten Fällen östrogenabhängig ist. Die Präkanzerose der endometrioiden Endometriumkarzinome ist die atypische Hyperplasie. Nach der WHO-Klassifikation wird unterschieden zwischen einer Hyperplasie ohne Atypie mit einem Progressionsrisiko zum Karzinom von 1-3% und einer atypischen Hyperplasie bzw. einer endometrioiden intraepithelialen Neoplasie (EIN) mit einem Progressionsrisiko zum Karzinom von 25-30% innerhalb eines Jahres nach Kürettage (Langzeitrisiko bis zu 45x erhöht!). Endometrioide Adenokarzinome können auch von der Zervix, vom Ovar oder von der Tube ausgehen. Wenn ein endometrioides Karzinom gleichzeitig im Uterus und im Ovar vorliegt, kann deshalb nicht immer mit Sicherheit gesagt werden, ob es sich um zwei unabhängige Primärtumoren oder um ein metastasierendes Karzinom handelt. 
Neben dem endometrioiden Adenokarzinom gibt es noch weitere, hormon-unabhängige und klinisch aggressive Formen, wie beispielsweise das seröse Adenokarzinom und das klarzellige Karzinom. Als Vorstufe der serösen Adenokarzinome gilt das seröse intraepitheliale Karzinom (=SEIC) Letzteres kann trotz fehlender Invasion ausgedehnt metastasieren.

Morphologie:
Endometriumkarzinome bilden sessile oder polypoide hellbraune oder weisse Massen, welche das Cavum uteri ausfüllen. Wenig differenzierte Tumoren weisen oft Einblutungen oder Nekrosen auf. 
Endometrioide Karzinome bestehen aus tubulären Drüsen, welche von einem mehrreihigen Epithel ausgekleidet werden. Schleim ist meist nicht oder nur apikal in den Zellen vorhanden. Die Ausdehnung der soliden Areale und die zytologischen Atypien bestimmen den Differenzierungsgrad (low-grade versus high-grade). Metaplastisches Plattenepithel findet sich häufig in endometrioiden Karzinomen und hilft bei der Abgrenzung von anderen Subtypen. Das endometrioide Karzinom kann sich innerhalb von Adenomyoseherden im Myometrium entwickeln (> 4482). In diesen Fällen kann die Bestimmung der Infiltrationstiefe erschwert sein.

Molekulare Klassifizierung:
Seit wenigen Jahren werden Endometriumkarzinome – neben der klassischen histologischen Typsisierung – noch in molekular definierte Subgruppen unterteilt. Dies erfolgt im Idealfall bereits am Kürettagematerial und wird mittels molekularer Analysen (next generation sequencing) und Immunhistochemie durchgeführt.
Bei einem kleinen Teil der Karzinome finden sich Mutationen in der DNA Polymerase epsilon (POLE), was wiederum für die Entstehung sehr vieler weiterer Mutationen im Tumor verantwortlich ist («POLE ultramutiert»). Es ist wichtig, diese Patientinnen zu erkennen, da ihre Prognose, trotz teils aggressiver Morphologie, sehr gut ist, und sie häufig keine weitere Chemo- und/oder Radiotherapie mehr benötigen. Die zweite molekulare Gruppe beinhaltet die Mikrosatelliten-instabilen Karzinome (MSI), bei denen es aufgrund eines Defektes in den Mismatch-Reparaturproteinen ebenfalls zu vielen konsekutiven Mutationen kommt (MSI-hypermutiert). Diese Karzinome scheinen gut auf Immuntherapien anzusprechen. Eine weitere molekular definierte Gruppe bilden die Endometriumkarzinome mit p53-Mutationen (p53-mutiert), die häufig aggressiv verlaufen und mit einer schlechten Prognose einhergehen. Bei circa einem Drittel der Endometriumkarzinome lassen sich keine spezifischen molekularen Veränderungen nachweisen.
 
Familiäre Tumorsyndrome:
Rund 2% der Patientinnen mit einem Endometriumkarzinom haben ein autosomal dominant vererbtes Lynch Syndrom (HNPCC, hereditary non-polyposis colorectal carcinoma) mit Keimbahnmutation in einem DNA Reparaturprotein und einem Risiko für verschiedene Karzinome (25-50% für kolorektale Karzinome, 25-70% für Endometriumkarzinome). Der Expressionsverlust eines DNA Reparaturproteins in der immunhistochemischen Untersuchung des Tumors ist verdächtig auf das Vorliegen eines Lynch Syndroms. Da Patientinnen mit Lynch Syndrom und ihre Familien ein deutlich erhöhtes Risiko für verschiedene Karzinome aufweisen, ist die möglichst frühzeitige Detektion dieses Syndroms beim erstbetroffenen Familienmitglied (=Indexpatientin) wichtig. Den Mutationsträgerinnen der betroffenen Familie können in der Folge spezielle Vorsorgeuntersuchungen und -massnahmen angeboten werden, die die Lebenserwartung deutlich steigern. Patientinnen mit Cowden Syndrom (PTEN Hamartom Tumor Syndrom) haben ein Endometriumkarzinomrisiko von 5-19%.

update 2. September 2022
Klinik
Vorkommen:
Das Endometriumkarzinom ist die 5. Häufigste Tumorneuerkrankung in der Schweiz. Die Inzidenz in der Schweiz liegt bei 24:100'000 Frauen pro Jahr. Die meisten Frauen erkranken zwischen 65 und 70 Jahren, nur 4 % vor dem 40. Lebensjahr. 

Risikofaktoren:
Als Risikofaktor für endometrioide Adenokarzinome gilt eine übermässige Östrogenstimulation, wie sie bei chronischer Anovulation, Adipositas, östrogensezernierenden Ovarialtumoren, exogener Hormonzufuhr oder Langzeit- Tamoxifentherapie auftreten kann. Diesen Tumoren geht in 20-40% der Fälle eine Hyperplasie des Endometriums voraus. Karzinome mit assoziierter Hyperplasie sind meist hoch differenziert und haben deshalb eine bessere Prognose als Karzinome, die Östrogen-unabhängig sind und mit einer Atrophie des Endometriums einhergehen.

Symptomatik:
Wichtigstes Symptom des Endometriumkarzinoms ist die abnorme uterine Blutung. Der Blutung geht oft ein Fluor voraus. Eine Zunahme der Intensität und Frequenz der Blutung bei perimenopausalen Frauen ist ebenfalls verdächtig.
 
Diagnostik:
Auch ohne Früherkennungsmaßnahmen werden bei Abklärung abnormer vaginaler Blutungen dreiviertel aller Tumoren in einem frühen Stadium erfasst. Eine transvaginale Sonographie hat bei einer Blutung in der Postmenopause nur eine ungenügende Spezifität. Bei einer postmenopausalen Blutung ist eine fraktionierte Abrasio mit getrennter Curettage von Zervikalkanal und Uteruscavum indiziert. In ca. 20% dieser Fälle wird histologisch ein Karzinom nachgewiesen. Besteht sonographisch der Verdacht auf ein Endometriumkarzinom, empfiehlt es sich, der Abrasio eine Hysteroskopie voranzustellen. Ein Ovarial- oder Tubenkarzinom muss ausgeschlossen werden, wenn die Abrasio keinen krankhaften Befund ergibt.
 Derzeit werden weder bei Risiko-, noch bei Nicht-Risikogruppen zytologische, histologische oder vaginalsonographische Untersuchungen zum Screening des Endometriumkarzinoms empfohlen.
 
Therapie: 
Die operative Behandlung des Endometriumkarzinoms ist das Mittel der Wahl, wobei bei initial inoperablem Befund eine neoadjuvante Therapie durchgeführt werden kann.
Der am Kürretagematerial bestimmte histologische Subtyp und die molekulare Klassifizierung sind wichtig für die individuelle Risikoeinteilung der Patientinnen, welche unter anderem das intraoperative Vorgehen (Ausdehnung der Lymphadenektomie), aber auch den Entscheid über eine adjuvante Therapie (Chemo- und/oder Radiotherapie) nach erfolgter Operation (i.d.R. Hysterektomie und Adnexektomie) beeinflussen. Am Operationspräparat wird die TNM-Klassifikation bestimmt, die wiederum eine wichtige Rolle für die weitere Bahandlung spielt.
 
Prognose:
Endometriumkarzinome sind in den meisten Fällen gut therapierbar (kumulative Überlebensrate circa 80%). 

update 2. September 2022
Morphologie
Morphologische Merkmale: 
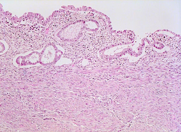
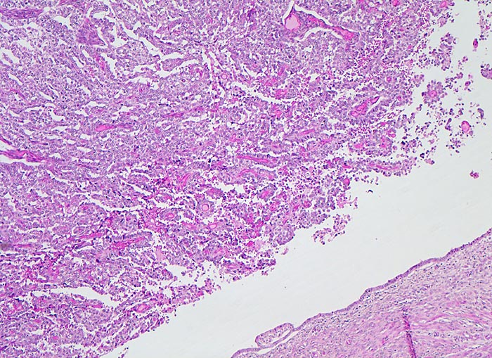
  • Endomyometranes Gewebsfragment. 
  • Die rechte Seite des Uteruskavums wird ausgekleidet von flachem atrophem Endometrium. Im Cavum liegt ein Blutkoagel mit nekrotischem Detritus nach vorausgegangener diagnostischer Utersukurettage. 
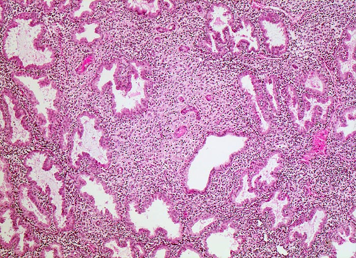
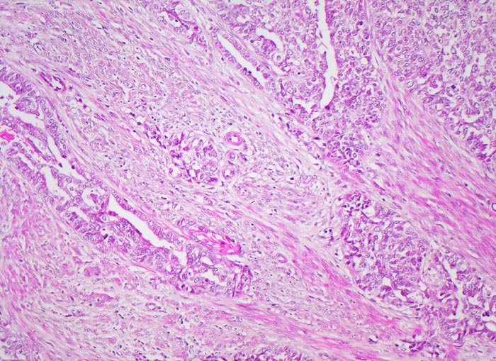
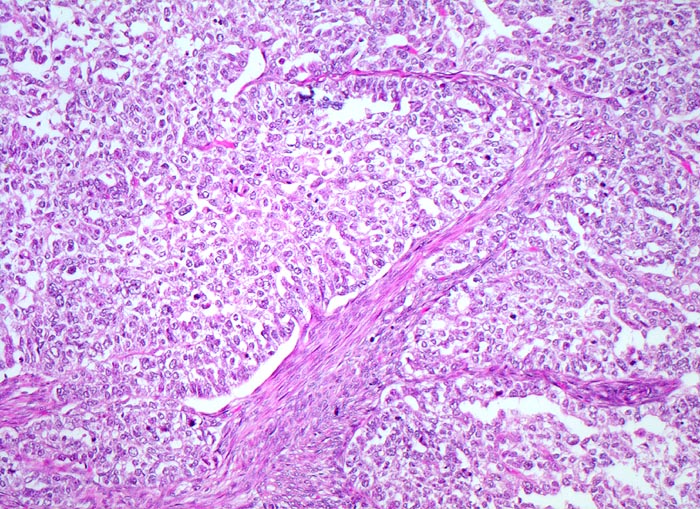
  • Anstelle des Endometriums findet sich in der linken Hälfte des Uteruskavums ein Adenokarzinom bestehend aus architektonisch komplexen Drüsen. Die Drüsen liegen teils dos à dos ohne erkennbares Stroma zwischen zwei Drüsenschläuchen. 
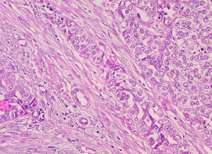
  • Tumorzellverbände infiltrieren die glatte Muskulatur des Myometriums. 
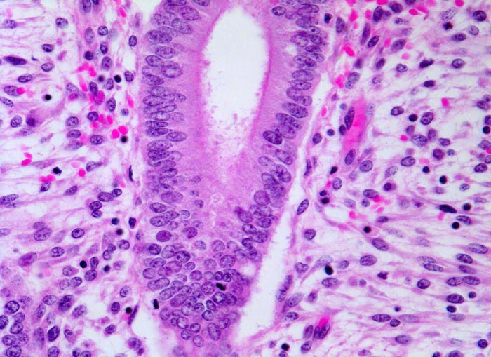
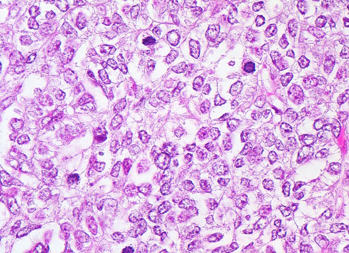
  • Tumordrüsen ausgekleidet von mehrreihig angeordneten Tumorzellen mit hyperchromatischen polymorphen längsovalen Tumorzellkernen mit zahlreichen Mitosen. Die Morphologie der Tumordrüsen erinnert an proliferatives Endometrium. 
  • Anmerkung: Typischerweise ist das endometrioide Karzinom des Uterus als Folge des ursächlichen Hyperöstrogenismus assoziiert mit einem hyperplastischen Endometrium (siehe Präparat 148). Im Kurspräparat erscheint hingegen das nicht-neoplastische Endometrium nach vorausgegangener Kurettage atroph. Atrophes Endometrium findet sich sonst charakteristischerweise neben serösen Endometriumkarzinomen postmenopausaler Patientinnen. Das sollte der Kliniker dem Pathologen mitteilen: 
  • Menopausenstatus. 
  • Hormonelle Therapie. 
Makroskopie
Befund
Pathologischer Befund
Normalbefund
Datum
Ersteintrag: 17.03.2019
Update: 04.02.2024