Basel 3BA HS/ Membrano-proliferative Glomerulonephritis Typ I

Diagnose
Membrano-proliferative Glomerulonephritis Typ I
Diagnose Gruppe
Systemerkrankung/Immunpathologie
Differenzialdiagnose
  • Glomerulonephritis bei Lupus erythematodes
Topographie Gruppe
Niere, Harnwege
Topographie
Niere
Einleitung
Pathogenese:
Bei den überwiegend immunpathogenetisch bedingten Glomerulonephritiden gibt es primäre und sekundäre Formen. Die primären Formen sind durch fehlende, die sekundären durch vorhandene andere Systemerkrankungen definiert. Bei der membrano-proliferativen Glomerulonephritis Typ I wurde beispielsweise eine Assoziation mit einer Hepatitis B oder C, einem ventrikuloatrialen Shunt oder Systemaffektionen wie systemischem Lupus oder Kryoglobulinämie (oft in Kombination mit Hepatitis C) beobachtet.

Morphologie:
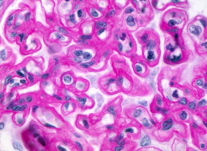
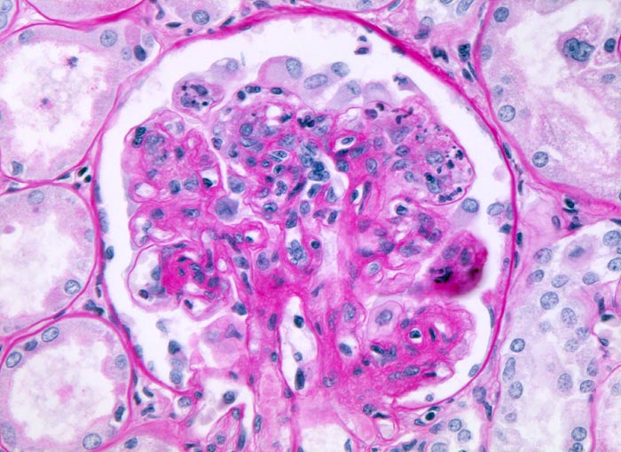
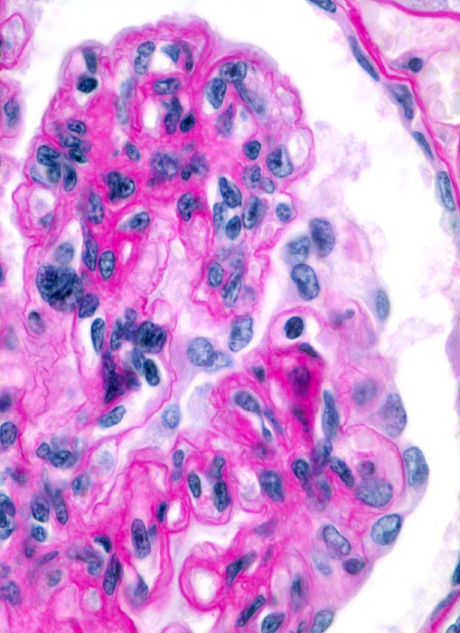
Morphologisch handelt es sich bei der membrano-proliferativen Glomerulonephritis um eine durch Mesangium- und Kapillarwandschädigungen charakterisierte Immunkomplexglomerulonephritis (Synonym: mesangiokapilläre Glomerulonephritis). Man unterscheidet einen Typ I mit subendothelialen Depots (> 2696) von einem Typ II mit dichten intramembranösen Ablagerungen (besser als intramembranöse Glomerulonephritis oder dense deposit disease bezeichnet) (> 2264).

Verlauf:
Die Erkrankung läuft phasenhaft ab (> 2630): initial subendotheliale Depots begleitet von neutrophilen Granulozyten und Monozyten in den Schlingenlumina (> 2636), später mesangiale Zellvermehrung, Auswandern in die Schlingenperipherie (mesangiale Interposition) und subendotheliale Basalmembranneubildung (Tramgleisbild aufgrund einer Basalmembranverdopplung). Schliesslich Abnahme der subendothelialen Depots und zunehmende mesangiale Matrixvermehrung zum Teil mit knotiger Umwandlung der Mesangiumfelder.
Immunhistochemisch primär subendotheliale (> 2696), später auch mesangiale granuläre Depots reich and Komplement C3 (> 2667), daneben meist auch IgG, IgM und IgA.
Elektronenmikroskopisch hauptsächlich subendotheliale, später auch mesangiale (> 2690) und gelegentlich einzelne subepitheliale Depots.

Anmerkung:
Die präzise Diagnosestellung glomerulärer Erkrankungen erfordert neben der Berücksichtigung klinischer Angaben den kombinierten Einsatz von Lichtmikroskopie, Elektronenmikroskopie und Immunhistochemie.
Klinik
Vorkommen:
Glomeruläre Erkrankungen bilden die häufigste Ursache einer akuten oder chronischen Niereninsuffizienz. Betroffen sind bevorzugt ältere Kinder und junge Erwachsene, daneben auch Patienten nach dem 50. Lebensjahr. Die Membrano-proliferative Glomerulonephritis Typ I ist selten und kommt in weniger als 10% der Biopsien bei Erwachsenen mit nephrotischem Syndrom oder nephritischem Harnsediment vor. Aus unbekanntem Grund wird diese Form der Glomerulonephritis zunehmend seltener.

Symptomatik:
Klinisch äussert sich die Erkrankung als massive Proteinurie bis zum nephrotischen Syndrom, akutes nephritisches Syndrom oder rapid progressive Glomerulonephritis. Später im Verlauf besteht bei fast allen Patienten ein nephrotisches Syndrom mit arterieller Hypertonie auf. Komplement C3 ist intermittierend erniedrigt. Die

Prognose:
Erkrankung verläuft meist protrahiert progressiv mit langen Remissionen. Die renale 5-Jahres-Funktionsrate liegt zwischen 30-70%. Die Rekurrenzrate im Nierentransplantat beträgt etwa 10%.
Normalbefund
Morphologie
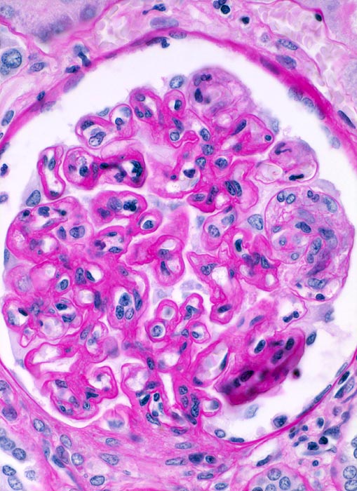
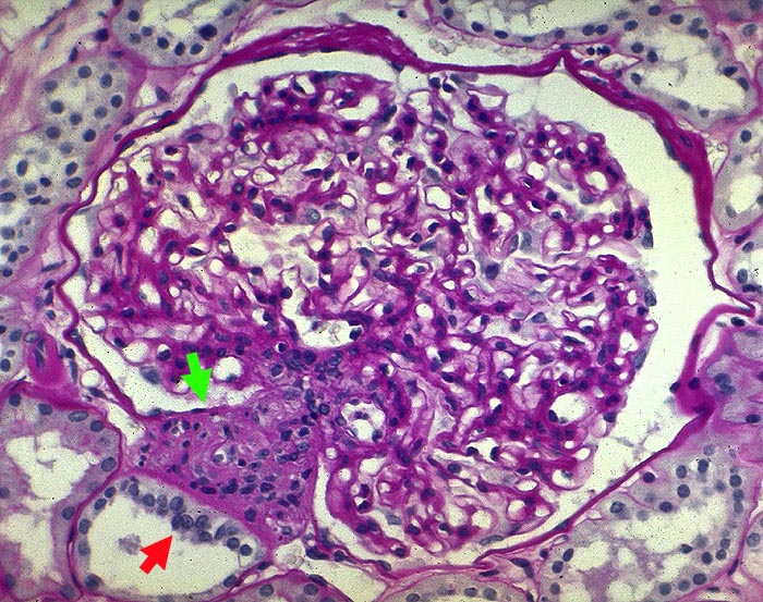
Morphologische Merkmale:
  • Diskrepanz zwischen deutlich geschädigten Glomerula und weitgehend unauffälligem tubulointerstitiellem Raum.
  • Vergrösserte Glomerulumanschnitte.
  • Den Kapselraum ausfüllendes lobuliertes Kapillarschlingenkonvolut.
  • Verbreitertes hyperzelluläres Mesangium (mehr als drei Zellen pro Mesangiumareal mit überlappenden Kernen).
  • Die glomerulären Basalmembranen wirken schon in der Übersicht deutlich verdickt und erscheinen verdoppelt.
  • Monozyten und neutrophile Granulozyten in den Kapillarschlingen.
Das sollte der Kliniker dem Pathologen mitteilen:
  • Nierenfunktion.
  • Urinbefunde.
  • Resultat der Komplement C3 Bestimmung.
  • Assoziierte Systemerkrankung.
Makroskopie
Befund
Pathologischer Befund
Normalbefund
Datum
Ersteintrag: 17.03.2019
Update: 04.02.2024