p/ Subakute nichteitrige Thyreoiditis De Quervain

Diagnose
Subakute nichteitrige Thyreoiditis De Quervain
Diagnose Gruppe
Entzündung infektiös
Differenzialdiagnose
Topographie Gruppe
Endokrinium
Topographie
Schilddrüse
Einleitung
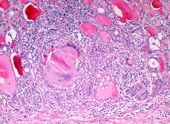
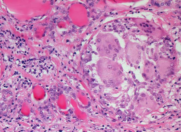
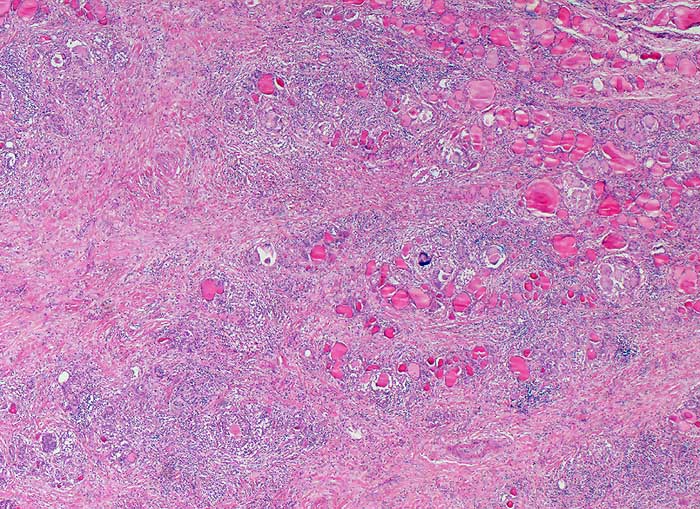
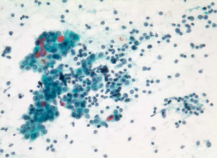
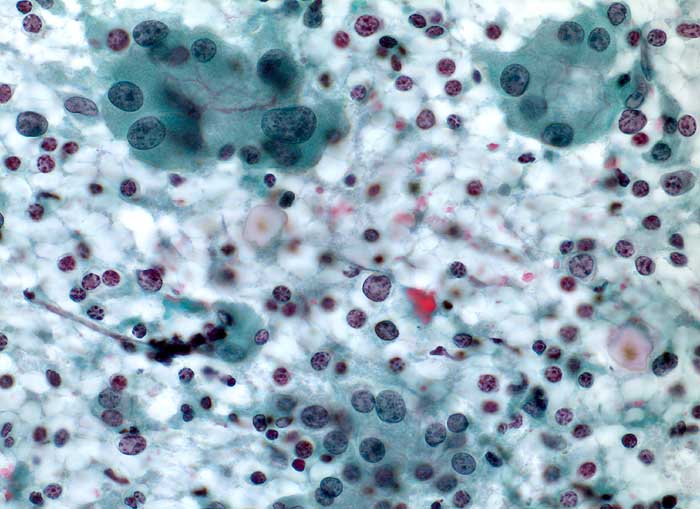
Das Zellbild wechselt in Abhängigkeit vom Stadium. Im floriden Anfangsstadium finden sich zahlreiche Lymphozyten, einige neutrophile Granulozyten und die pathognomonischen Epitheloidzellen und Riesenzellen, gelegentlich in granulomähnlichen Aggregaten. Die Follikelzellen können degenerative Veränderungen und eine deutliche Polymorphie aufweisen. Im Verlauf der Erkrankung nimmt die Zellularität ab. Bei eindeutigem zytologischem Befund kann auf eine histologische Abklärung verzichtet werden. Die Thyreoiditis De Quervain stellt keine Indikation für einen operativen Eingriff dar.
Klinik
-
Normalbefund
Morphologie
Makroskopie
Virtuelles Präparat
Befund
Pathologischer Befund
Normalbefund
Literatur
Datum
Ersteintrag: 01.04.2003
Update: 04.02.2024