Einleitung
Histogenese:
Ösophaguskarzinome gehen in etwa 80% vom ortsständigen Plattenepithel und in etwa 20% vom metaplastischen Barrett-Epithel aus (Adenokarzinome), wobei sich das Verhältnis zunehmend zu Gunsten der Adenokarzinome verschiebt.
Lokalisation:
Plattenepithelkarzinome sind im gesamten Ösophagus mit Bevorzugung des mittleren und unteren Drittels (jeweils 40%) zu finden. Prädilektionsstellen sind die drei physiologischen Engen (Bereich des oberen Ösophagusmundes, Höhe der Trachealbifurkation und Kardiabereich). Die unterschiedliche Lymph- und Venenblutdrainage der oberen und unteren Teile des Ösophagus bedingt, daß die Metastasierung je nach Tumorlokalisation unterschiedlich erfolgt. Bei Diagnosestellung haben die meisten Tumoren bereits in die regionären Lymphknoten metastasiert. Hämatogene Metastasen in Leber und Lunge sind seltener. Innerhalb der Ösophaguswand breitet sich der Tumor oft (makroskopisch unsichtbar) in der Submukosa aus, und zwar mehr in proximaler als in distaler Richtung, manchmal über eine Strecke von mehr als 5 cm. Es sind sogar Tumorausdehnungen bis in den Pharynx und den Magen bekannt. Aus diesem Grund empfiehlt sich während der Operation die Schnellschnittuntersuchung der Resektionsränder .
Morphologie:
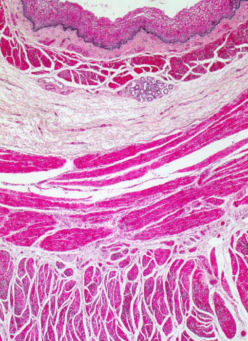
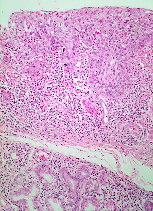
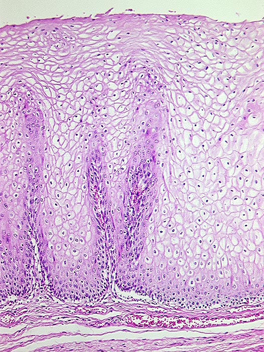
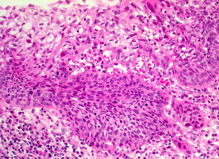
Makroskopisch dominieren beim Plattenepithelkarzinom ulzerierte Tumoren (66%), gefolgt von polypösen Tumoren (23%). Polypöse Karzinome können frühe Tumorstadien darstellen, die im weiteren Verlauf in ulzerierte Formen übergehen. Diffus infiltrierende Plattenepithelkarzinome (ca. 11%) stellen meistens sehr aggressive Tumoren mit schlechter Prognose dar.
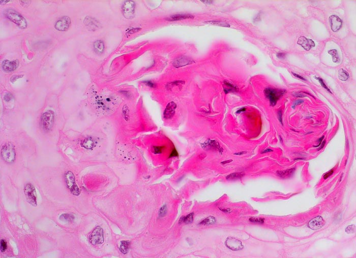
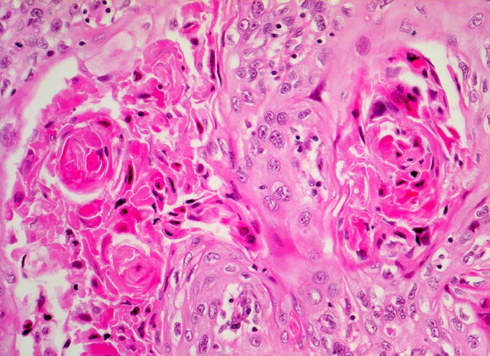
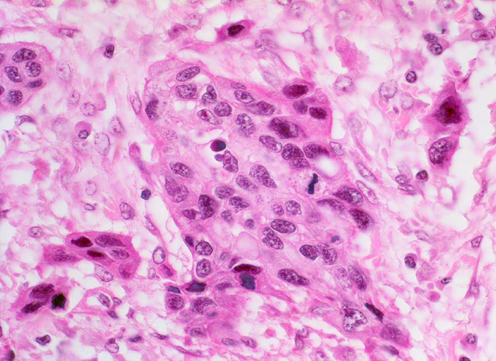
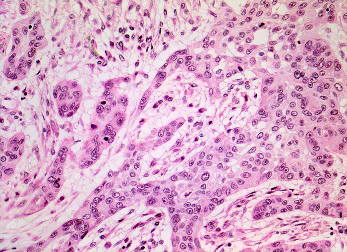
Mikroskopisch zeigen die meisten Plattenepithelkarzinome einen mittleren Differenzierungsgrad und eine wechselnd starke Verhornung. Das fortgeschrittene Karzinom infiltriert angrenzende Strukturen wie den Tracheobronchialbaum, die Aorta und den Nervus recurrens.
Klinik
Vorkommen:
In der Schweiz werden pro Jahr etwa 300 Neuerkrankungen diagnostiziert. Die Inzidenz bei Männern beträgt 6:100'000, bei Frauen 1:100'000. In gewissen Regionen (Nordiran, Südrussland, Südafrika, Nordchina…) beträgt die Inzidenz bis zu 30-800:100'000. Ösophaguskarzinome kommen am häufigsten in der sechsten und siebten Lebensdekade vor.
Risikofaktoren:
In den westlichen Ländern sind chronischer Alkohol- und Nikotinabusus die wichtigsten Risikofaktoren für die Entstehung des Plattenepithelkarzinoms. Diese Noxen potenzieren sich gegenseitig in ihrer Wirkung. Weniger die Art als viel mehr die Menge des konsumierten Alkohols ist entscheidend. Weitere Risikofaktoren sind Nitrite aus der Nahrung, das Rauchen von Opiaten, Pilztoxine in eingelegten Gemüsen, das Trinken extrem heisser Getränke, strahlenbedingte Strikturen und die chronische Achalasie.
Symptomatik:
Die Patienten klagen initial über Dysphagie bei Aufnahme solider Nahrungsmittel und schliesslich auch bei Aufnahme von Flüssigkeiten, sowie über Gewichtsverlust. Epigastrische oder retrosternale Schmerzen sind meist Zeichen eines fortgeschrittenen Tumorleidens. Heiserkeit wegen Infiltration des Nervus recurrens bedeutet Inoperabilität. Respiratorische Symptome sind entweder zurückzuführen auf Aspiration unverdauter Nahrung oder auf eine ösophagotracheale Fistelbildung.
Diagnostik:
Dysphagiebeschwerden bei einem Erwachsenen sollten endoskopisch abgeklärt werden. Zur genauen Bestimmung des T-Stadiums vor neoadjuvanter Therapie und lokaler Exzision wird eine Endosonographie durchgeführt. Die Biopsie dient der Bestimmung der Dignität und außerdem wegen der typenspezifischen Therapie auch des Tumortyps (Plattenepithel- oder Adenokarzinom, selten kleinzelliges Karzinom).
Therapie:
Das Risiko der operativen Therapie bei Patienten mit Ösophaguskarzinom ist von der Erfahrung des Operateurs abhängig. Daher sollte die operative Therapie in Zentren mit spezieller Erfahrung in der Ösophaguschirurgie erfolgen. Entscheidend für die Indikation zur Operation sind die Beurteilung des Risikos des geplanten Eingriffs und die Abschätzung der Wahrscheinlichkeit einer vollständigen Tumorentfernung (R0-Resektion). Die R0-Resektion (radikale Entfernung des Tumors mit regionalem Lymphabflussgebiet) ist die Voraussetzung für einen kurativen Behandlungserfolg. Die neoadjuvante (präoperative) kombinierte Radiochemotherapie sollte bei resektablem Tumor derzeit nur innerhalb klinischer Studien eingesetzt werden. Sie wird vor allem bei lokal fortgeschrittenen suprabifurkalen und zervikalen Plattenepithelkarzinomen angewandt. Das Resektat sollte nach Abschluss der Operation wegen der starken Schrumpfungsneigung aufgespannt werden und ohne Verzögerung zum Pathologen gelangen. Für die lokal fortgeschrittenen nicht R0-resektablen Karzinome des Oesophagus ist bei ausreichendem Allgemeinzustand des Patienten die kombinierte simultane Radiochemotherapie zu empfehlen. Zur Beseitigung der Schluckbeschwerden bei Patienten mit nicht resektablem Oesophaguskarzinom stehen endoskopische, interventionelle, chirurgische und radiotherapeutische Maßnahmen zur Verfügung.
Prognose:
Das 5 Jahresüberleben aller Stadien zusammengenommen liegt bei 20-25%.