AP/ Aspergilluspneumonie

Diagnose
Aspergilluspneumonie
Diagnose Gruppe
Entzündung infektiös
Differenzialdiagnose
Topographie Gruppe
Lunge, Mediastinum mit Thymus
Topographie
Lunge
Einleitung
Aetiologie:
Die Aspergillose ist eine exogene Schimmelpilzerkrankung, welche meist durch Aspergillus fumigatus hervorgerufen wird. Dieser bildet septierte 7-10 Mikrometer breite Hyphen. Die Infektion erfolgt über die Luftwege.

Morphologie:
Aspergillus unterscheidet sich von anderen Pilzen (> 1462) (> 712) durch häufige Verzweigungen der Hyphen in einem Winkel von 45°, die radiär in grossen Kolonien liegen (> 547) (> 556). Besonders gut sind die Pilze in der PAS (> 717) und in der Grocott (> 189) Färbung nachweisbar. Die vier häufigsten durch Aspergillen hervorgerufenen Lungenerkrankungen sind die allergische bronchopulmonale Aspergillose, die chronische nekrotisierende Aspergilluspneumonie, das Aspergillom oder wie in diesem Fall die invasive Aspergillose. (Näheres zu den verschiedenen Krankheitsbildern im Literaturlink). Bei Immunsupprimierten invadieren die Pilze häufig die Gefässe. Dies führt zu Infarkten, Blutungen und Nekrosen der Lunge. Über die Invasion der Gefässe kommt es zur septischen Streuung (> 715) (> 49) im grossen Kreislauf.
Klinik
Risikofaktoren:
Die invasive Aspergillose wird fast nur bei Immunsupprimierten beobachtet (längerdauernde Neutropenie). Am meisten gefährdet sind Patienten nach Knochenmarktransplantation (während prolongierter Neutropenie unmittelbar nach Transplantation bzw. unter Hochdosis Steroidtherapie bei Graft versus Host disease). Insgesamt sind etwa 5-13% der Knochenmarktransplantierten betroffen. Ein erhöhtes Risiko haben auch Patienten nach Transplantation eines soliden Organs, leukämische Patienten unter intensiver Chemotherapie und Patienten im Spätstadium der HIV Infektion.

Symptomatik:
Die Patienten haben Fieber, Husten, Dyspnoe, pleuritische Schmerzen und gelegentlich Hämoptysen.

Diagnostik und Therapie:
Die Diagnose erfolgt über den direkten Erregernachweis (positive Sputumkultur, Nadelbiopsie, Bronchoalveoläre Lavage) bei einem Patienten mit prolongierter Neutropenie oder Immunsupression und pulmonalen Infiltraten, welche auf Antibiose nicht ansprechen. Die Interpretation des mikrobiologischen Erregernachweises ist dadurch erschwert, dass der Pilznachweis nicht zwingend gleichzusetzen ist mit einer Infektion. Die Diagnose kann nicht serologisch gestellt werden, weil die Aspergillusserologie bei den betroffenen Patienten oft negativ ist. Manchmal muss für den eindeutigen Infektnachweis eine thorakoskopische Lungenbiopsie entnommen werden. Die definitive Diagnose kann schwierig sein, da die Sensitivität der Kultur von Sputum oder bronchoalveolärer Lavage lediglich bei 50-60% liegt. Ausserdem kann ein positives Kulturresultat auch lediglich Ausdruck einer nicht pathogenen Kolonisierung sein und ist nicht zwingend mit einer invasiven Infektion gleichzusetzen. Wiederholt positive Kulturen bei entsprechenden klinischen Befunden erlauben eine verlässliche Diagnose. Die Erkrankung hat eine hohe Mortalität. Ein rascher Therapiebeginn nach Diagnosestellung mit Antimycotika ist daher notwendig. Wenn möglich sollte die Immunsuppression reduziert werden.

Komplikationen:
Die invasive Aspergillose kann zu respiratorischem Versagen, zu massiver Hämoptyse oder zu septischer Streuung ins zentrale Nervensystem, die Nieren und das Herz führen.

Prognose:
Die Mortalität ist wegen der zugrundeliegenden Erkrankung hoch. Rezidive bei fortgesetzter Immunsuppression sind häufig. Bei Dissemination ins Hirn (> 48) oder Pilzendokarditis ohne chirurgische Intervention ist die Prognose infaust.
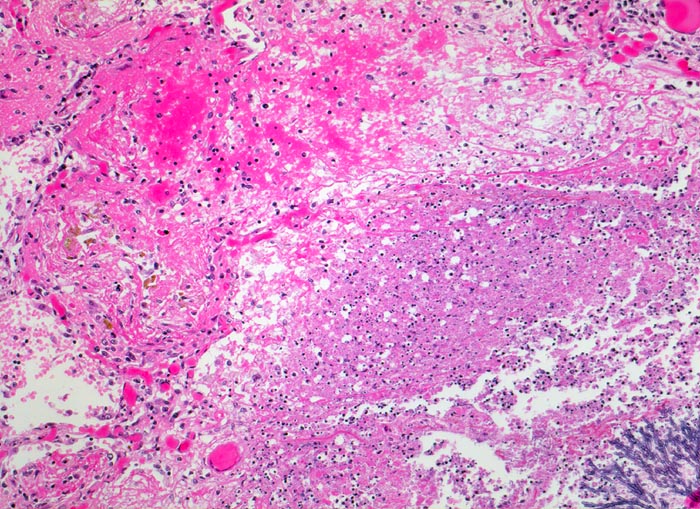
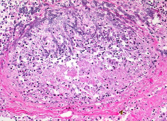
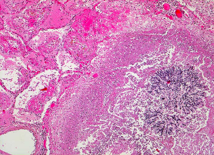
Morphologie
Morphologische Merkmale:
  • Multiple Herde mit zentraler Nekrose und hämorrhagischem Randsaum.
  • Pilzmyzelien, zerfallende neutrophile Granulozyten und Erythrozyten im Zentrum der Herde.
  • Kräftig gefärbte Pilzhyphen mit 45° Verzweigungen.
  • Hämorrhagischer Randsaum um die Nekrose: Hyperämische Alveolarwandkapillaren. Alveolen angefüllt mit Blut, Fibrin und Alveolarmakrophagen.
Das sollte der Kliniker dem Pathologen mitteilen:
  • Erregernachweis.
  • Immunsuppression.
Praxis-Tipp:
  • Materialentnahme für die Bakteriologie vor Fixation.
Makroskopie
Befund
Pathologischer Befund
Normalbefund
Datum
Ersteintrag: 10.07.2019
Update: 04.02.2024