Aetiologie:
Die zystische Fibrose (CF/Mukoviszidose) ist eine autosomal rezessiv vererbbare Erkrankung. Bis heute sind rund 900 verschiedene Mutationen des CF Gens auf Chromosom 7 bekannt. Ein Screening für die häufigsten 24 Mutationen erfasst 80% aller mutierten Gene in CF Patienten. Das Gen ist für die Produktion eines Proteins verantwortlich, das Chlorid-Ionen durch die apikale Membran verschiedener Epithelien, hauptsächlich aber des Respirations- und Verdauungstraktes, transportiert.
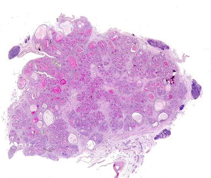
Morphologie:
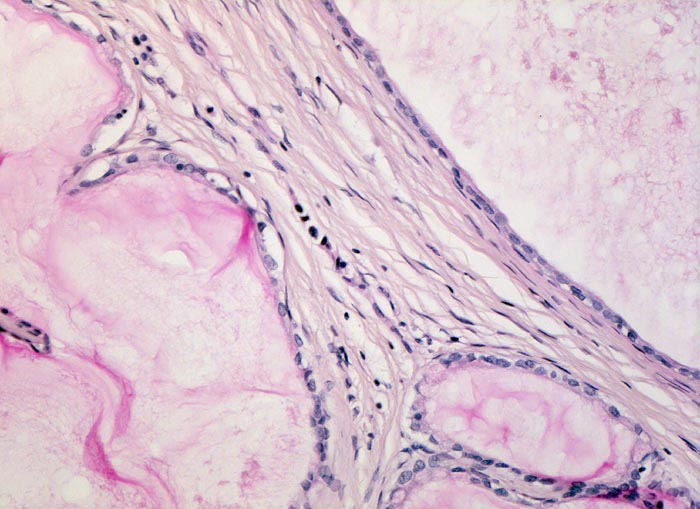
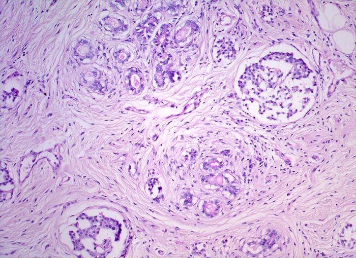
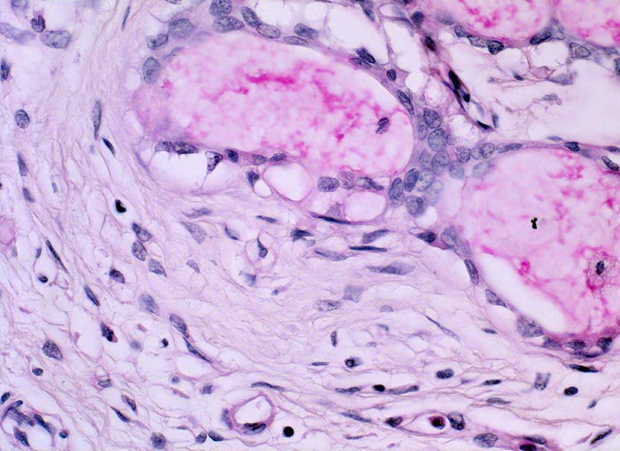
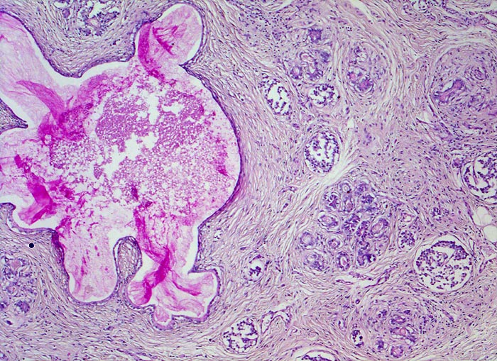
Fast alle exokrinen Drüsen sind betroffen. Pankreasgänge, intestinale Drüsen, intrahepatische Gallengänge und die Glandula submandibularis sind obstruiert durch visköses oder solides eosinophiles Material. Tracheobronchiale und Brunner’sche Drüsen bilden vermehrten Schleim. Schweissdrüsen, kleine Speicheldrüsen und Glandula Parotis sind histologisch normal, sezernieren aber vermehrt Natrium und Chlorid. Veränderungen in der Lunge ( 3689) entwickeln sich als Folge von Luftwegsobstruktion und Infekten (initial vor allem mit Staphylococcus aureus, später meist Pseudomonas aeruginosa).
Klinik
Vorkommen:
Es handelt sich um die häufigste lebensverkürzende Erkrankung in der weissen Bevölkerung mit gegen 5% heterozygoten Trägern in Europa. Eines von 2000 Neugeborenen ist betroffen. Bei 1:400-600 Ehepaaren tragen beide Elternteile ein mutiertes Allel mit einem Risiko von 25%, ein krankes Kind zu bekommen. Bei Schwarzen und Asiaten ist die zystische Fibrose viel seltener.
Symptomatik:
Ein Mekoniumileus wegen Obstruktion des Ileum durch zähflüssiges Mekonium ist bei 15-20% der betroffenen Neugeborenen vorhanden. Bei Säuglingen ohne Mekoniumileus fällt eine Gedeihstörung auf mit fehlendem Gewichtszuwachs. Wegen Proteinmalabsorption kann sich eine Hypoproteinämie mit Ödemen und Anämie entwickeln. Die Hälfte der Patienten entwickelt pulmonale Symptome mit chronischem Husten und rezidivierenden oder chronischen pulmonalen Infekten. Aufgrund der pulmonalen Hypertonie kann sich ein Cor pulmonale entwickeln. Es besteht oft eine nasale Polypose und eine chronische Sinusitis. Die exokrine Pankreasinsuffizienz führt zur Malabsorption mit Wachstumsretardierung und Mangel an fettlöslichen Vitaminen. 10% entwickeln einen insulinabhängigen Diabetes, 5% eine sekundäre biliäre Zirrhose. Exzessives Schwitzen bei heissem Wetter oder Fieber kann zu hypotoner Dehydration mit Kreislaufkollaps führen. 98% der erwachsenen Männer sind infertil wegen obstruktiver Azoospermie.
Heterozygote sind klinisch asymptomatisch.
Diagnostik:
Bei klinischen Symptomen ist der Schweisstest mit drei- bis fünffacher Konzentration von Natrium und Chlorid beweisend für die Erkrankung. Bei einem pathologischen Schweisstest wird der genaue Gendefekt mittels gentechnischer Untersuchung des Blutes oder von Mundschleimhautzellen bestimmt. Es ist möglich ca. 97% aller CF-Mutationen molekulargenetisch nachzuweisen, was eine zuverlässige Diagnosestellung, Trägererfassung und vorgeburtliche Untersuchungen bei Patienten und ihren Familienangehörigen ermöglicht.
Therapie:
Eine kausale Behandlung existiert nicht. Durch eine konsequente, lebenslang durchzuführende symptomatische Therapie läßt sich der Verlauf aber günstig beeinflussen. Dazu gehört u. a. eine hochkalorische Diät mit Zufuhr insbesondere der fettlöslichen Vitamine (Vit. A, D, K, E) und Einnahme von Verdauungsenzymen. Die Lungenveränderungen müssen durch intensive Physiotherapie (Klopfmassagen, Atemgymnastik etc.), sekretlösende Pharmaka (Mukolytika), Inhalationstherapie sowie durch entsprechende Antibiotika behandelt werden. Seit Anfang der 90er Jahre können CF-Betroffene mit fortgeschrittener Lungenzerstörung in der Schweiz transplantiert werden.
Prognose:
Während früher die meisten Betroffenen im Kindesalter verstorben sind, liegt heute die mittlere Lebenserwartung bei 30-35 Jahren.