Basel 3BA FS/ Invasives lobuläres Mammakarzinom

Diagnose
Invasives lobuläres Mammakarzinom
Diagnose Gruppe
maligner Tumor
Differenzialdiagnose
Topographie Gruppe
Mamma
Topographie
Mamma
Einleitung
Morphologie:
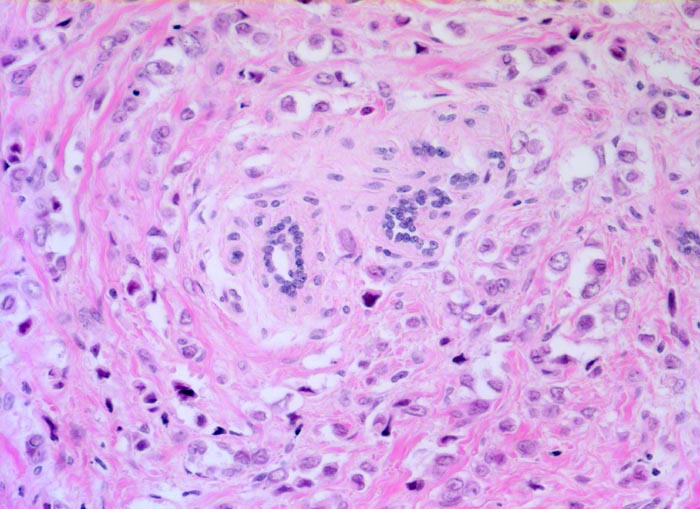
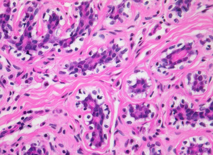
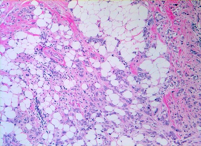
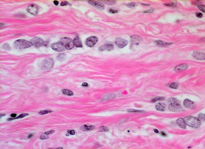
Invasiv lobuläre Karzinome sind in bis zu 80% mit einem lobulären in situ Karzinom und in 36% der Fälle mit einem duktalen Karzinom (in situ oder invasiv) assoziiert. Ein Viertel der Tumoren wächst multizentrisch. Das klassische invasive lobuläre Karzinom besteht aus kleinzelligen monomorphen Infiltraten, welche anstelle von Drüsen einreihige Tumorzellstränge bilden. Diese wachsen zirkulär um vorbestehende Drüsenläppchen (> 4221)und durchsetzen den Drüsenkörper diffus. Oft lassen sich intrazelluläre muzinhaltige Zytoplasmavakuolen nachweisen, die wie Siegelringzellen (> 4224) imponieren. Die Tumorzellen induzieren eine ausgeprägte desmoplastische Bindegewebsvermehrung.
Klinik
Vorkommen:
Invasiv lobuläre Karzinome bilden mit 10-20% aller Mammakarzinome den zweithäufigsten histologischen Subtyp.Das mittlere Alter von Patientinnen mit invasiv lobulärem Karzinom liegt bei 55 Jahren. Sie sind damit durchschnittlich 10 Jahre älter als Patientinnen mit lobulärem in situ Karzinom. Das Risiko von Patientinnen mit lobulärem Carcinoma in situ (> 4219), ein invasives Karzinom zu entwickeln, ist 10 bis 11 mal größer als in einer altersentsprechenden Vergleichspopulation. Das Karzinomrisiko ist für beide Mammae erhöht. Das Intervall bis zur Entwicklung eines invasiven Karzinoms (duktal oder lobulär) kann sich von wenigen Jahren bis zu mehr als 20 Jahren erstrecken.

Diagnostik:
Invasive lobuläre Karzinome sind Tumoren ohne scharfe Demarkierung und palpatorisch an der indurierenden Wirkung der Desmoplasie (=tumorinduzierte Bindegewebsbildung) erkennbar. 8-16% dieser Karzinome sind mammographisch nicht diagnostizierbar. Aufgrund des häufigen multizentrischen Wachstums und der klinisch oft nicht eindeutig bestimmbaren Tumorausdehnung ist eine brusterhaltende Therapie in fortgeschrittenen Stadien kontraindiziert.

Prognose:
Die Tumoren sind langsam progredient. Die 5 Jahresüberlebensrate beträgt 75%, nach 10 Jahren leben noch 53% der Patientinnen. Der klassische Typ des invasiv lobulären Karzinoms verhält sich im Vergleich zum invasiv duktalen Karzinom günstiger.
Normalbefund
Morphologie
Morphologische Merkmale:
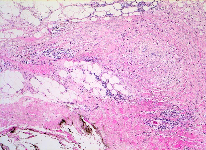
  • Multifokale Infiltrate eines invasiv lobulären Mammakarzinoms: Kleine monomorphe, zytoplasmaarme Tumorzellen bilden einreihige Ketten (gänsemarschartig = Indian files) oder sind konzentrisch um nicht neoplastische Drüsen angeordnet.
  • Das Karzinom bildet keine Drüsen.
  • Zytologisch blande Tumorzellen mit kleinen runden hellen Kernen.
  • Reichlich dichtes desmoplastisches Tumorstroma.
  • Lobuläre Neoplasie (=nicht invasiver intralobulärer Karzinomanteil): Neben den zystisch erweiterten Drüsen finden sich Mammaläppchen, deren Azini teilweise leicht vergrössert sind durch Ansammlungen von atypischen Zellen mit vergrösserten Kernen und prominenten Nukleolen. Die Basalmembran der tumorbefallen Azini ist erhalten.
  • Nich neoplastisches Mammaparenchym mit Fibrose, erweiterten Gängen ausgekleidet von metaplastischem apokrinem Epithel.
Praxis-Tipp:
  • Anzahl und Lokalisation von Tumorherden in einer Skizze einzeichnen!
  • Probeexzisate mamillennah, mamillenfern und lateral oder medial mit unterschiedlichen Fäden (kurz-lang) markieren.
  • Mastektomiepräparate kranial und lateral oder medial markieren.
Makroskopie
Befund
Pathologischer Befund
Normalbefund
Datum
Ersteintrag: 10.07.2019
Update: 04.02.2024