Aetiologie: Die Entzündung der Appendix ist meist Folge einer Obstruktion beispielsweise durch einen Kotstein, hyperplastische Lymphfollikel oder einen Tumor. Dadurch kommt es wegen fortgesetzter Sekretion von Schleim ins Appendixlumen zu einer intraluminalen Druckerhöhung mit Störung des venösen Abflusses. Die ischämische Schädigung der Mukosa fördert die Proliferation von Bakterien. Gelegentlich können als Verursacher einer akuten Appendizitis Oxyureneier ( 287) nachgewiesen werden oder eine retikulozytär abszedierende Entzündung bei Yersiniose ( 1223). Eine neurogene Appendikopathie ( 3393)( 3398)( 3399) kann zu chronischen rechtsseitigen Unterbauchbeschwerden führen.
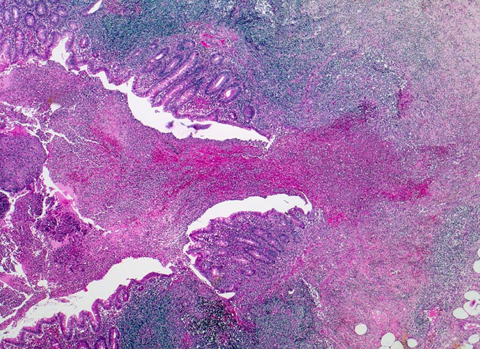
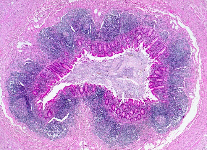
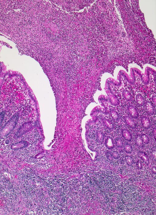
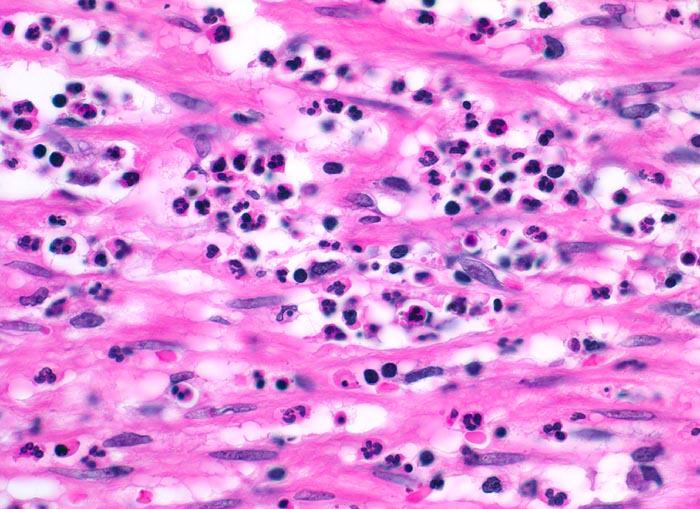
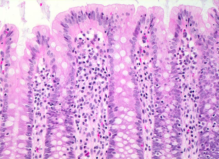
Morphologie: Das histologische Kriterium für eine akute Appendizitis ist die Infiltration der Muscularis propria mit neutrophilen Granulozyten.
Klinik
Vorkommen: Meist tritt die akute Appendizitis bei Adoleszenten oder jungen Erwachsenen auf, ist jedoch grundsätzlich in jedem Alter möglich.
Symptomatik: Fehldiagnosen sind recht häufig, da sich die Erkrankung oftmals nicht mit klassischer Symptomatik manifestiert und die Differentialdiagnose der rechtsseitigen Unterbauchbeschwerden sehr breit ist. Mögliche Differentialdiagnosen: Gallekolik, Obstipation, Divertikulose, Endometriose, EUG, Torsion eines Adnextumors, Gastroenteritis, Adnexitis… Die klassische Abfolge von Appetitlosigkeit und periumbilikalen Schmerzen gefolgt von rechtsseitigen Unterbauchschmerzen und Erbrechen findet sich nur bei gerade 50% der Patienten.
Therapie: Die Appendektomie ist Therapie der Wahl.
Komplikationen: Mögliche Komplikationen einer Appendizitis sind Wandperforation, Pylephlebitis mit Thrombose der portalvenösen Drainage, Leberabszess oder Bakteriämie.
Diffuse Durchsetzung der Appendixwand mit neutrophilen Granulozyten (phlegmonöse Entzündung).
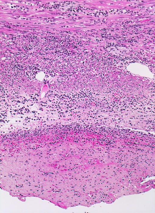
Fibrinauflagerungen auf der Serosa durchmischt mit neutrophilen Granulozyten (fibrinös eitrige Peritonitis). Das sollte der Kliniker dem Pathologen mitteilen:
Verdacht auf Perforation oder perityphlitischen Abszess.