Definition: Das konventionelle kolorektale Adenom ist eine gutartige präneoplastische Läsion ausgehend von der Kolonmukosa, welche sich im Verlauf zum invasiven Adenokarzinom weiterentwickeln kann (Adenom-Karzinom Sequenz) und stellt somit eine gesicherte Präkanzerose des Kolonkarzinoms dar. Präneoplasien kolorektaler Karzinome lassen sich in nichtserratierte und serratierte Läsionen unterteilen. Nichtserratierte Läsionen sind konventionelle Adenome, die tubulär, tubulovillös oder villös aufgebaut sein können, sowie Dysplasien bzw. intraepitheliale Neoplasien (IEN) im Rahmen chronisch-entzündlicher Darmerkrankungen. Konventionelle Adenome treten mehrheitlich sporadisch auf, finden sich jedoch auch in familiären adenomatösen Polyposiserkrankungen. Nichtadenomatöse, hamartöse Polyposissyndrome können ebenfalls mit einem erhöhten Karzinomrisiko einhergehen. Zu den serratierten Läsionen zählen hyperplastische Polypen, sessile serratierte Läsionen (SSL) und traditionelle serratierte Adenome (TSA). Den verschiedenen Präneoplasien können bestimmte molekulare Entstehungswege des kolorektalen Adenokarzinoms zugeordnet werden. Die folgenden Texte beziehen sich auf die Gruppe der konventionellen Kolonschleimhautadenome.
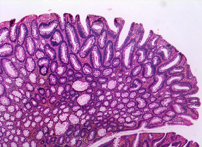
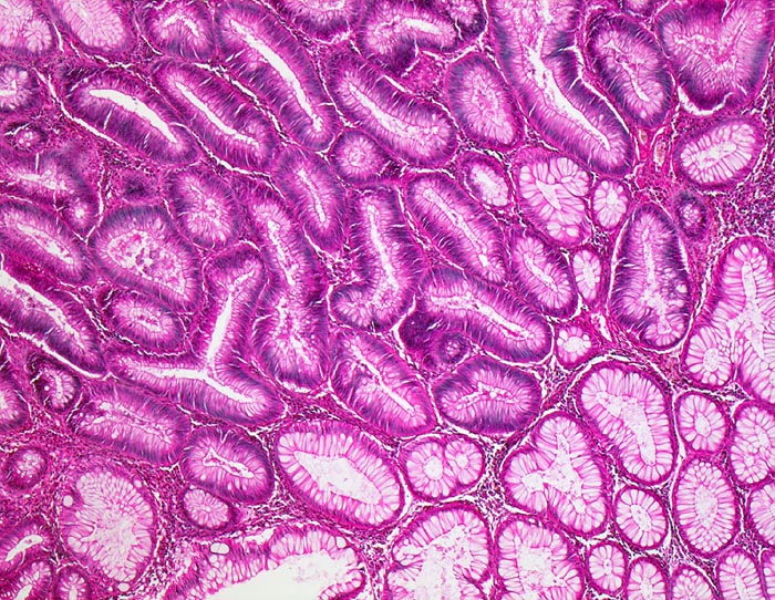
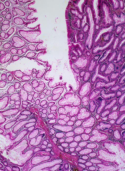
Morphologie: Konventionelle Kolonschleimhautadenome können makroskopisch als erhabene, flache oder eingesenkte Läsionen imponieren. Nicht alle Adenome imponieren also makroskopisch als Polypen. Die erhabenen Adenome können gestielt oder sessil sein. Für die Diagnose entscheidend ist der Nachweis einer Epitheldysplasie. Bei der Gradierung der Dysplasie ( 25) werden Polaritätsverlust, Drüsenkomplexität, Zelldichte und Ausmass der zytologischen Atypien berücksichtigt. Mikroskopisch unterscheidet man tubuläre (>80% Tubuli) ( 1113), villöse (>80% Villi) ( 503) und tubulovillöse Adenome. Am häufigsten sind tubuläre Adenome gefolgt von gemischten, rein villöse sind selten (5%). Die Unterscheidung von Villi und längs angeschnittenen Tubuli ist fliessend. Ein Villus ( 502) wird arbiträr definiert als Drüse, deren Länge mindestens das Doppelte der normalen Mukosadicke beträgt.
Anmerkung: Exophytische tumorartige Läsionen im Darm werden makroskopisch als Polypen bezeichnet. Dabei kann es sich um wenig fortgeschrittene Karzinome, Adenome, sessile gezahnte Läsionen, hyperplastische Polypen ( 1131), Granulationsgewebspolypen ( 2881) oder hamartomatöse Läsionen ( 3614)( 3057) handeln. Die eindeutige nosologische Zuordnung muss histologisch erfolgen.
Update 1. September 2020
Klinik
Vorkommen: Bei 30-40% aller über 60 Jährigen können konventionelle Kolonadenome nachgewiesen werden. Patienten mit Kolonadenomen sind durchschnittlich 10 Jahre jünger als Patienten mit Kolonkarzinomen.
Risikofaktoren: Es existieren verschiedene vererbbare Polyposis Syndrome assoziiert mit einem erhöhten Karzinomrisiko (familiäre adenomatöse Polypose ( 4006), Juvenile Polypose, hyperplastische Polypose, Peutz Jeghers und Cowden Syndrom mit hamartomatösen Polypen).
Symptomatik: Die meisten Patienten sind asymptomatisch. Villöse Adenome im Rektosigmoid oder Rektum können eine sekretorische Diarrhoe verursachen.
Diagnostik und Therapie: Die endoskopische Untersuchung hat die höchste Sensitivität für den Polypennachweis und erlaubt gleichzeitig die therapeutische Polypektomie mit histologischer Untersuchung. Das Risiko einer Perforation bzw. starken Blutung liegt bei 0.2% bzw. 1% nach endoskopischer Polypektomie. 40-50% der Patienten mit Adenomen im Rektosigmoid haben zusätzlich proximal gelegene Adenome. Bei positiver Sigmoidoskopie sollte deshalb eine Untersuchung des gesamten Kolons angeschlossen werden. Bei Vorliegen von Kolonpolypen ist die vollständige endoskopische Abtragung und histologische Untersuchung erforderlich. Oberflächliche Biopsien aus Adenomen erlauben keine genügende Aussage zur Dignität der Läsion. Bei großen Polypen mit einer Basis von mehr als 2 - 3 cm Durchmesser kann die chirurgische Polypektomie, evtl. als mikrochirurgisch-endoskopischer Eingriff, indiziert sein.
Verlauf: Die Entwicklung vom Adenom zum Karzinom dauert mindestens 4 Jahre. Das Progressionsrisiko ist höher bei Adenomen ab einem Durchmesser von 1cm, bei villösen Adenomen und bei hochgradiger Dysplasie.
An der Abtragungsstelle rechts unten (Kauterartefakte) erkennt man wenige nicht dysplastisch veränderte Kolonkrypten mit muzinhaltigen Becherzellen.
Intakte Lamina muscularis mucosae.
Das Adenom besteht teilweise aus langen fingerförmigen verzweigten villösen Strukturen und kürzeren unverzweigten Tubuli.
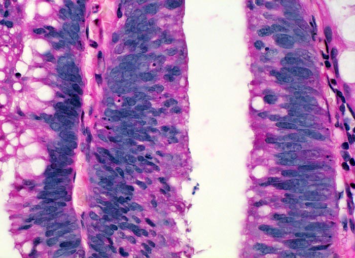
Low grade Dysplasie (ca. 95%): Das Epithel der mässiggradig dysplastisch veränderten Drüsen zeigt vermehrte, vergrösserte, mehrreihig angeordnete stiftförmige Kerne mit leicht vergröbertem Chromatin und verminderter intrazytoplasmatische Schleimbildung. Die Zellpolarität ist erhalten (parallele Ausrichtung der Zellkerne zueinander, senkrecht zur Basalmembran).
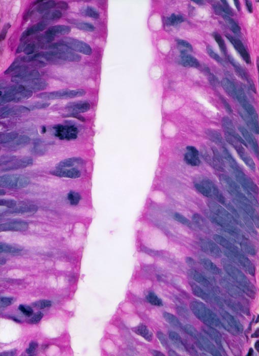
High grade Dysplasie (ca. 5%): Im Zentrum des Adenoms findet sich ein kleines Areal mit high grade Dysplasie: dysplastisch veränderter Drüsen mit kribriformer Architektur (Tubulus mit multiplen Lumina gesäumt von dysplastischen Zellen) und grösseren, abgerundeten Zellkernen teilweise in allen Epithellagen. Die Lumina der kribriformen Drüsen enthalten apoptotische Zelltrümmer und nekrotischen Detritus. Das sollte der Kliniker dem Pathologen mitteilen:
Vorliegen einer entzündlichen Darmerkrankung (Colitis ulcerosa, Crohn).