Aetiologie:
Der genaue Mechanismus für die alkoholisch bedingte Leberschädigung ist nicht bekannt. Individuelle Unterschiede im Alkoholmetabolismus sind möglicherweise verantwortlich dafür, dass nicht alle Alkoholiker einen signifikanten Leberschaden entwickeln.
Morphologie:
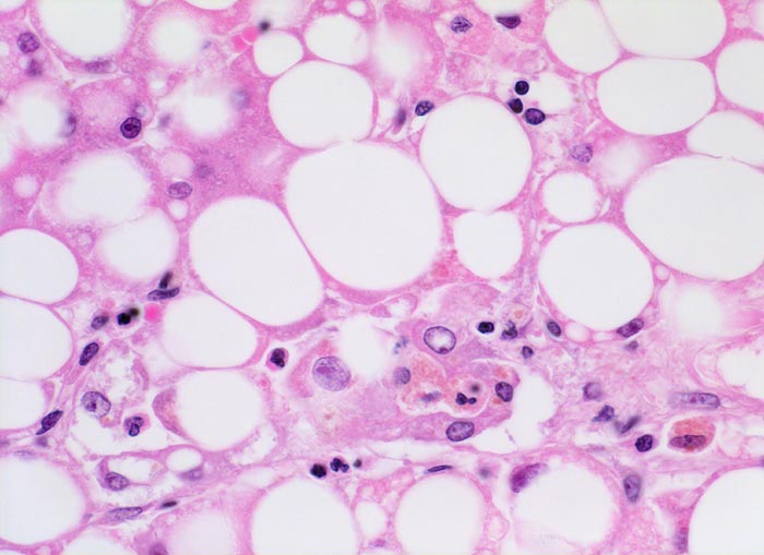
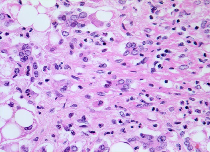
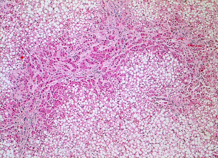
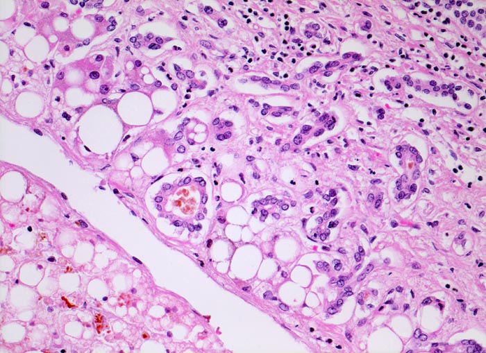
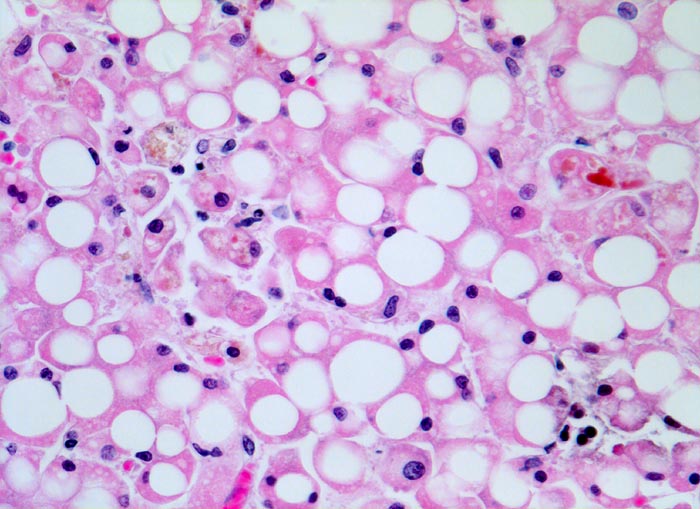
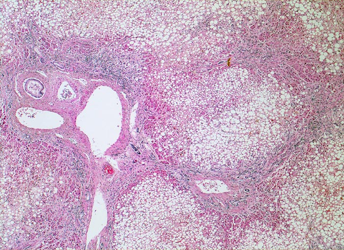
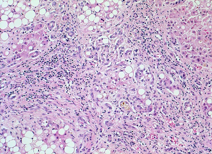
Die Steatose ist der früheste und häufigste pathologische Leberbefund ( 3260) und findet sich bei bis zu 90% der chronischen Alkoholiker. Nach Alkoholkarenz ist sie innerhalb von 3-4 Wochen reversibel. 20-40% der chronischen Alkoholiker entwickeln eine alkoholische Steatohepatitis (ASH). Die Steatohepatitis ist gekennzeichnet durch Schwellung und Ballonierung der Leberzellen, Nachweis von Mallory-Körperchen ( 4947), Apoptosen, perizelluläre Maschendrahtfibrose ( 4950) und überwiegend aus neutrophilen Granulozyten ( 4948)( 4949) bestehenden Entzündungsinfiltraten. Die Veränderungen sind bei Alkoholkarenz rückbildungsfähig. Bei etwa 50% der Patienten mit Steatohepatitis entwickelt sich eine Leberzirrhose ( 1095).
Anmerkung:
Ein histologisch identisches Bild findet sich bei der Nicht alkoholischen Steatohepatitis (=NASH) verursacht durch Adipositas, Typ II Diabetes mellitus oder Hyperlipidämie. Eine Mitteilung über die Menge des Alkoholkonsums des Patienten auf dem Einsendeformular einer Leberbiopsie ist zwingend notwendig, damit der Pathologe die Ursache einer Steatohepatitis angeben kann.
Klinik
Vorkommen:
Patienten mit einer alkoholischen Hepatitis sind meist chronische Trinker mit einem kurz zurückliegenden Trinkexzess.
Symptomatik:
Die Symptome einer Steatohepatitis können variieren zwischen einer leichten Hepatitis mit erhöhten Leberwerten bis zu einer schweren Leberdysfunktion mit Ikterus, hepatischer Enzephalopathie, Aszitesbildung, Varizenblutungen oder Blutgerinngungsstörungen. Das Ausmass der morphologischen Veränderungen zeigt keine sichere Korrelation mit dem klinischen Bild und den Laborwerten.
Diagnostik:
Die Leberbiopsie ist die verlässlichste Methode zur Erfassung des Schweregrades und des Stadiums (Fibrose) der Erkrankung.
Therapie:
Therapeutisch im Vordergrund steht die Alkoholabstinenz.
Gemischtes portales, septales und intralobuläres Entzündungsinfiltrat.
Floride sklerosierende alkoholische Steatohepatitis: Grobtropfige Verfettung von ca. 50% des Parenchyms.Neutrophile Granulozyten umgeben einzelne Hepatozyten (Satellitose). Wenig Apoptosekörperchen. Zahlreiche Mallory Körperchen und Megamitochondrien. Perivenuläre Maschendrahtfibrose.